The PEX14 Antibody (CAB7336) is a high-quality antibody developed for reliable detection and analysis of target proteins. PEX14 is a key peroxisomal membrane protein that plays a critical role in the import of proteins into the peroxisome, as well as in peroxisome proliferation and maintenance.This antibody, raised in rabbits, is highly specific to human samples and has been validated for use in Western blot applications. It specifically targets the PEX14 protein, allowing for the detection and analysis of PEX14 expression levels in various cell types and tissues.
This antibody is validated for use in WB, IHC-P, ELISA applications and has demonstrated reactivity against Human, Mouse samples.
Product Name:
PEX14 Antibody
SKU:
CAB7336
Size:
20μL, 100μL
Reactivity:
Human, Mouse
Conjugate:
Unconjugated
Immunogen:
Recombinant protein (or fragment).This information is considered to be commercially sensitive.
This gene encodes an essential component of the peroxisomal import machinery. The protein is integrated into peroxisome membranes with its C-terminus exposed to the cytosol, and interacts with the cytosolic receptor for proteins containing a PTS1 peroxisomal targeting signal. The protein also functions as a transcriptional corepressor and interacts with a histone deacetylase. A mutation in this gene results in one form of Zellweger syndrome.
Purification Method
Affinity purification
Gene ID
5195
RRID
AB_2767873
Buffer Information
Store at -20℃. Avoid freeze / thaw cycles. Buffer: PBS containing 50% glycerol, preserved with proclin300 or sodium azide, pH 7.3.
Western blot analysis of lysates from Mouse kidney, using PEX14 Rabbit pAb (CAB7336) at 1:1000 dilution. Secondary antibody: HRP-conjugated Goat anti-Rabbit IgG (H+L) (CABS014) at 1:10000 dilution. Lysates/proteins: 25μg per lane. Blocking buffer: 3% nonfat dry milk in TBST. Detection: ECL Basic Kit (AbGn00020). Exposure time: 60s.
Western blot analysis of lysates from A-431 cells, using PEX14 Rabbit pAb (CAB7336) at 1:1000 dilution. Secondary antibody: HRP-conjugated Goat anti-Rabbit IgG (H+L) (CABS014) at 1:10000 dilution. Lysates/proteins: 25μg per lane. Blocking buffer: 3% nonfat dry milk in TBST. Detection: ECL Basic Kit (AbGn00020). Exposure time: 90s.
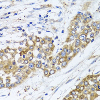
Immunohistochemistry analysis of paraffin-embedded Human colon carcinoma using PEX14 Rabbit pAb (CAB7336) at dilution of 1:100 (40x lens). Microwave antigen retrieval performed with 0.01M PBS Buffer (pH 7.2) prior to IHC staining.