The PFKFB3 Monoclonal Antibody (CAB3934) is a high-quality antibody developed for reliable detection and analysis of target proteins. This antibody, generated in rabbits, exhibits high specificity and sensitivity towards human samples, making it suitable for a variety of research applications.PFKFB3 is known to be overexpressed in various types of cancer, where it promotes tumor growth and survival by facilitating metabolic reprogramming. By targeting PFKFB3 with this antibody, researchers can investigate its role in cancer progression and potentially identify new therapeutic targets for cancer treatment.This antibody is validated for use in Western blotting, immunohistochemistry, and other immunological techniques, enabling researchers to analyze PFKFB3 expression levels in different cell types and tissue samples.
This antibody is validated for use in WB, IHC-P, ELISA applications and has demonstrated reactivity against Human, Mouse samples.
Product Name:
PFKFB3 Monoclonal Antibody
SKU:
CAB3934
Size:
20μL, 100μL
Reactivity:
Human, Mouse
Clone Number:
ARC50569
Conjugate:
Unconjugated
Immunogen:
Synthetic peptide. This information is considered to be commercially sensitive.
Recommended starting concentration is 1 μg/mL. Please optimize the concentration based on your specific assay requirements.
Synonyms:
PFK2, IPFK2, iPFK-2, PFKFB3
Positive Sample:
HeLa, Jurkat
Cellular Localization:
Cytosol, Nucleoplasm.
Calculated MW:
60kDa
Observed MW:
60kDa
The protein encoded by this gene belongs to a family of bifunctional proteins that are involved in both the synthesis and degradation of fructose-2,6-bisphosphate, a regulatory molecule that controls glycolysis in eukaryotes. The encoded protein has a 6-phosphofructo-2-kinase activity that catalyzes the synthesis of fructose-2,6-bisphosphate (F2,6BP), and a fructose-2,6-biphosphatase activity that catalyzes the degradation of F2,6BP. This protein is required for cell cycle progression and prevention of apoptosis. It functions as a regulator of cyclin-dependent kinase 1, linking glucose metabolism to cell proliferation and survival in tumor cells. Several alternatively spliced transcript variants encoding different isoforms have been found for this gene.
Purification Method
Affinity purification
Gene ID
5209
RRID
AB_2863158
Buffer Information
Store at -20℃. Avoid freeze / thaw cycles. Buffer: PBS containing 50% glycerol and 0.05% BSA, preserved with proclin300 or sodium azide, pH 7.3.
Western blot analysis of various lysates using PFKFB3 Rabbit mAb (CAB3934) at 1:500 dilution. Secondary antibody: HRP-conjugated Goat anti-Rabbit IgG (H+L) (CABS014) at 1:10000 dilution. Lysates/proteins: 25μg per lane. Blocking buffer: 3% nonfat dry milk in TBST. Detection: ECL Basic Kit (AbGn00020). Exposure time: 60s.
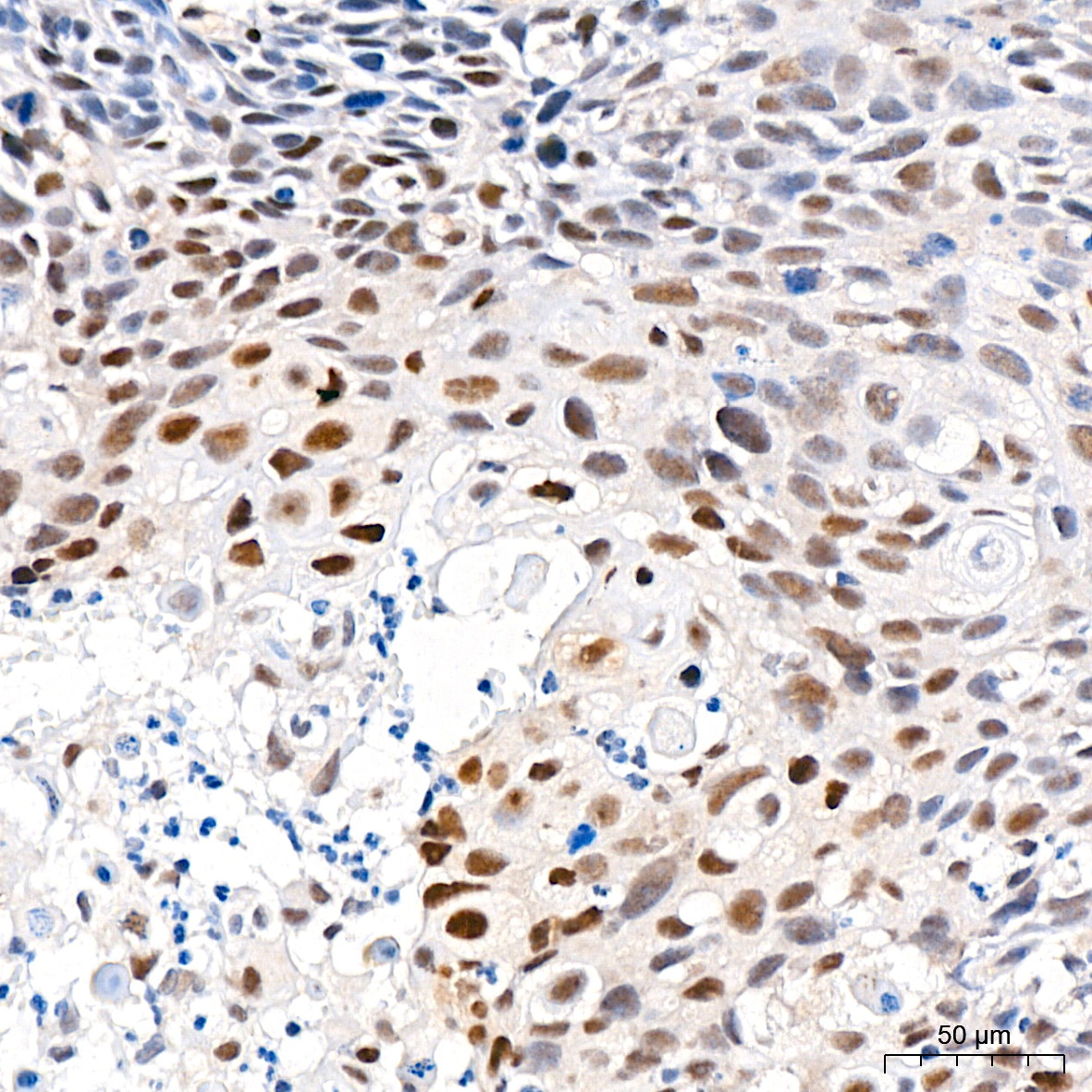
Immunohistochemistry analysis of paraffin-embedded Human cervix cancer tissue using PFKFB3 Rabbit mAb (CAB3934) at a dilution of 1:200 (40x lens). High pressure antigen retrieval performed with 0.01M Citrate Buffer (pH 6.0) prior to IHC staining.
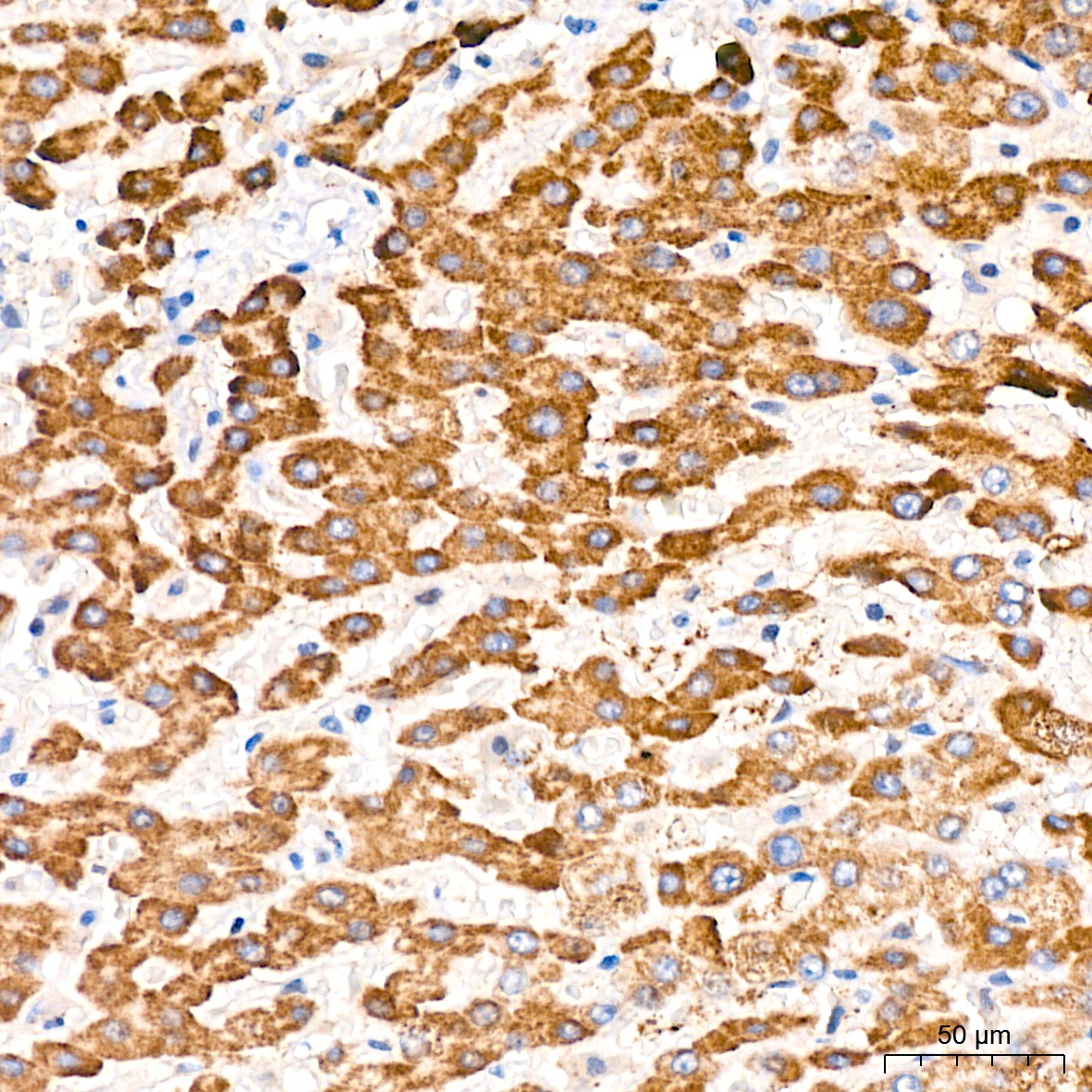
Immunohistochemistry analysis of paraffin-embedded Human liver tissue using PFKFB3 Rabbit mAb (CAB3934) at a dilution of 1:200 (40x lens). High pressure antigen retrieval performed with 0.01M Citrate Buffer (pH 6.0) prior to IHC staining.
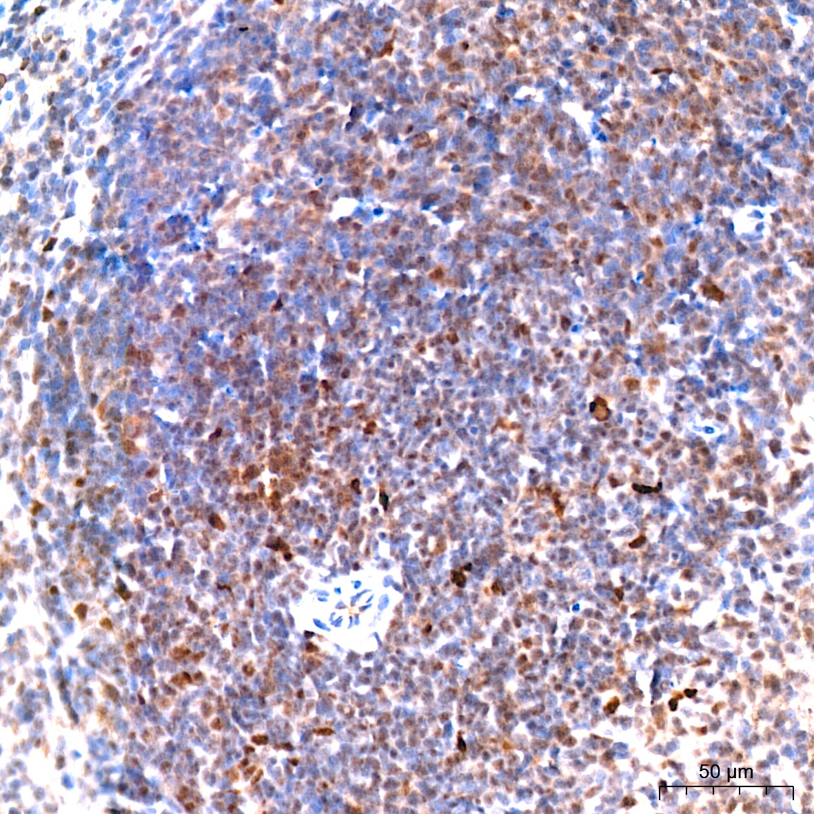
Immunohistochemistry analysis of paraffin-embedded Mouse spleen tissue using PFKFB3 Rabbit mAb (CAB3934) at a dilution of 1:200 (40x lens). High pressure antigen retrieval performed with 0.01M Citrate Buffer (pH 6.0) prior to IHC staining.