The Prohibitin 2 (PHB2) Monoclonal Antibody (CAB9144) is a high-quality antibody developed for reliable detection and analysis of target proteins. This antibody, produced in rabbits, is highly specific and binds to PHB2 with high affinity, allowing for accurate detection and analysis in Western blot assays.PHB2 is a multifunctional protein that has been implicated in cancer progression, metabolic disorders, and neurodegenerative diseases. By targeting PHB2 with this antibody, researchers can gain insights into the role of this protein in disease development and progression, potentially leading to the identification of novel therapeutic targets.
This antibody is validated for use in WB, IHC-P, IF/ICC, IP, ELISA applications and has demonstrated reactivity against Human, Mouse, Rat samples.
Product Name:
Prohibitin 2 (PHB2) Monoclonal Antibody
SKU:
CAB9144
Size:
20μL, 100μL
Reactivity:
Human, Mouse, Rat
Clone Number:
ARC1449
Conjugate:
Unconjugated
Immunogen:
Synthetic peptide. This information is considered to be commercially sensitive.
Enables several functions, including protein C-terminus binding activity; protein N-terminus binding activity; and protein dimerization activity. Involved in several processes, including defense response to virus; positive regulation of cell cycle phase transition; and regulation of transcription, DNA-templated. Located in several cellular components, including cell surface; mitochondrial membrane; and nuclear matrix. Part of mitochondrial prohibitin complex.
Purification Method
Affinity purification
Gene ID
11331
RRID
AB_2863669
Buffer Information
Store at -20℃. Avoid freeze / thaw cycles. Buffer: PBS containing 50% glycerol and 0.05% BSA, preserved with proclin300 or sodium azide, pH 7.3.
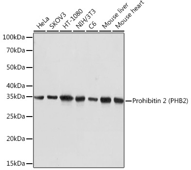
Western blot analysis of various lysates using Prohibitin 2 (Prohibitin 2 (PHB2)) Rabbit mAb (CAB9144) at 1:5000 dilution. Secondary antibody: HRP-conjugated Goat anti-Rabbit IgG (H+L) (CABS014) at 1:10000 dilution. Lysates/proteins: 25μg per lane. Blocking buffer: 3% nonfat dry milk in TBST. Detection: ECL Basic Kit (AbGn00020). Exposure time: 1s.
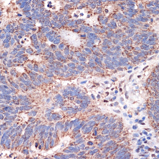
Immunohistochemistry analysis of paraffin-embedded Human colon carcinoma using Prohibitin 2 (Prohibitin 2 (PHB2)) Rabbit mAb (CAB9144) at dilution of 1:100 (40x lens). Microwave antigen retrieval performed with 0.01M PBS Buffer (pH 7.2) prior to IHC staining.
Confocal imaging of U-2 OS cells using Prohibitin 2 (PHB2) Rabbit mAb (CAB9144, dilution 1:200) followed by a further incubation with Cy3 Goat Anti-Rabbit IgG (H+L) (CABS007, dilution 1:500) (Red). The cells were counterstained with α-Tubulin Mouse mAb (AC012, dilution 1:400) followed by incubation with ABflo® 488-conjugated Goat Anti-Mouse IgG (H+L) Ab (CABS076, dilution 1:500) (Green). DAPI was used for nuclear staining (Blue). Objective: 100x.
Immunoprecipitation analysis of 300 μg extracts of SKOV3 cells using 3 μg Prohibitin 2 (PHB2) antibody (CAB9144). Western blot was performed from the immunoprecipitate using Prohibitin 2 (PHB2) antibody (CAB9144) at a dilution of 1:1000.