The Prohibitin Monoclonal Antibody (CAB19530) is a high-quality antibody developed for reliable detection and analysis of target proteins. The antibody, generated in rabbits, demonstrates high specificity and sensitivity in detecting prohibitin in human samples and is verified for use in applications such as immunofluorescence and immunohistochemistry.Prohibitin, a highly conserved and multifunctional protein, is implicated in diverse cellular functions, making it a target of interest in studies related to cancer, aging, and metabolic disorders.
This antibody is validated for use in WB, IHC-P, ELISA applications and has demonstrated reactivity against Human, Mouse, Rat samples.
Product Name:
Prohibitin Monoclonal Antibody
SKU:
CAB19530
Size:
20μL, 100μL
Reactivity:
Human, Mouse, Rat
Clone Number:
ARC0007
Conjugate:
Unconjugated
Immunogen:
Synthetic peptide. This information is considered to be commercially sensitive.
Sequence:
ASQL PRIF TSIG EDYD ERVL PSIT TEIL KSVV ARFD AGEL ITQR ELVS RQVS DDLT ERAA TFGL ILDD VSLT HLTF GKEF TEAV EAKQ VAQQ EAER ARFV V
Tested Applications:
WBIHC-PELISA
Recommended Dilution:
WB
1:1000 - 1:4000
IHC-P
1:50 - 1:200
ELISA
Recommended starting concentration is 1 μg/mL. Please optimize the concentration based on your specific assay requirements.
Synonyms:
PHB, HEL-215, HEL-S-54e, Prohibitin
Positive Sample:
U-87 MG, A549, MCF7, Mouse brain, Mouse heart, Mouse kidney, Rat heart, Rat liver, Rat kidney
Cellular Localization:
Mitochondrion Inner Membrane.
Calculated MW:
30kDa
Observed MW:
30kDa
This gene is evolutionarily conserved, and its product is proposed to play a role in human cellular senescence and tumor suppression. Antiproliferative activity is reported to be localized to the 3' UTR, which is proposed to function as a trans-acting regulatory RNA. Several pseudogenes of this gene have been identified. Alternative splicing results in multiple transcript variants.
Purification Method
Affinity purification
Gene ID
5245
RRID
AB_2862650
Buffer Information
Store at -20℃. Avoid freeze / thaw cycles. Buffer: PBS containing 50% glycerol and 0.05% BSA, preserved with proclin300 or sodium azide, pH 7.3.
Western blot analysis of various lysates using Prohibitin Rabbit mAb (CAB19530) at 1:1000 dilution. Secondary antibody: HRP-conjugated Goat anti-Rabbit IgG (H+L) (CABS014) at 1:10000 dilution. Lysates/proteins: 25μg per lane. Blocking buffer: 3% nonfat dry milk in TBST. Detection: ECL Basic Kit (AbGn00020). Exposure time: 5s.
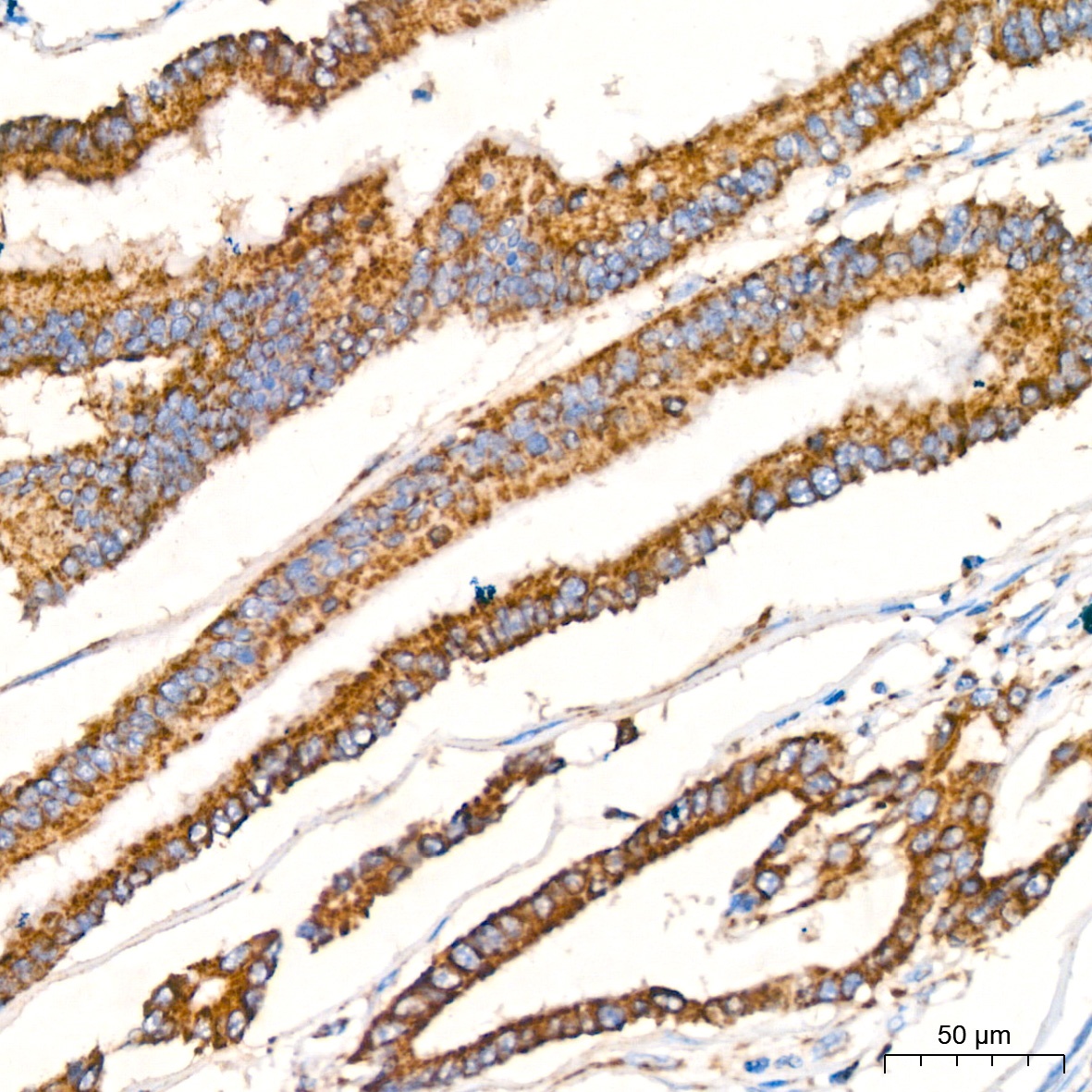
Immunohistochemistry analysis of paraffin-embedded Human colon carcinoma tissue using Prohibitin Rabbit mAb (CAB19530) at a dilution of 1:200 (40x lens). High pressure antigen retrieval performed with 0.01M Citrate buffer (pH 6.0) prior to IHC staining.
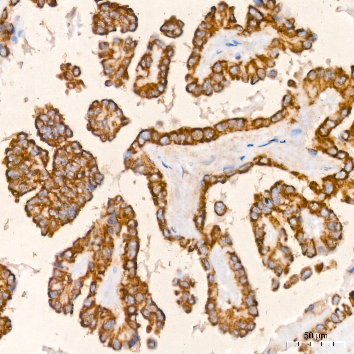
Immunohistochemistry analysis of paraffin-embedded Human thyroid cancer tissue using Prohibitin Rabbit mAb (CAB19530) at a dilution of 1:200 (40x lens). High pressure antigen retrieval performed with 0.01M Citrate buffer (pH 6.0) prior to IHC staining.
Immunohistochemistry analysis of paraffin-embedded Mouse kidney tissue using Prohibitin Rabbit mAb (CAB19530) at a dilution of 1:200 (40x lens). High pressure antigen retrieval performed with 0.01M Citrate buffer (pH 6.0) prior to IHC staining.
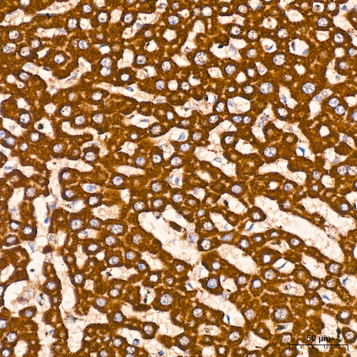
Immunohistochemistry analysis of paraffin-embedded Rat liver tissue using Prohibitin Rabbit mAb (CAB19530) at a dilution of 1:200 (40x lens). High pressure antigen retrieval performed with 0.01M Citrate buffer (pH 6.0) prior to IHC staining.