The Prohibitin 2 Polyclonal Antibody (CAB4504) is a valuable tool for researchers studying Prohibitin 2, a protein involved in various cellular functions including cell proliferation, apoptosis, and mitochondrial function. This antibody, developed using rabbit immunization, is highly specific for detecting Prohibitin 2 in human samples and has been validated for use in Western blotting applications.Prohibitin 2, also known as PHB2, is a critical factor in maintaining mitochondrial function and cellular homeostasis. Dysregulation of Prohibitin 2 has been linked to various diseases, including cancer and neurodegenerative disorders.
By targeting Prohibitin 2 with this antibody, researchers can gain insights into its role in these diseases and potentially identify new therapeutic targets.With its high reactivity and specificity, the Prohibitin 2 Polyclonal Antibody (CAB4504) is a valuable tool for researchers in the fields of cancer biology, neurology, and mitochondrial research. It provides a reliable method for detecting and analyzing Prohibitin 2 in various cell types, enabling further understanding of its functions and implications in disease pathology.
Product Name:
Prohibitin 2 (PHB2) Rabbit Polyclonal Antibody
SKU:
CAB4504
Size:
20uL, 100uL
Isotype:
IgG
Host Species:
Rabbit
Reactivity:
Human,Mouse,Rat
Immunogen:
Recombinant fusion protein containing a sequence corresponding to amino acids 1-299 of human Prohibitin 2 (Prohibitin 2 (PHB2)) (NP_001138303.1).
Enables several functions, including protein C-terminus binding activity; protein N-terminus binding activity; and protein dimerization activity. Involved in several processes, including defense response to virus; positive regulation of cell cycle phase transition; and regulation of transcription, DNA-templated. Located in several cellular components, including cell surface; mitochondrial membrane; and nuclear matrix. Part of mitochondrial prohibitin complex.
Purification Method:
Affinity purification
Gene ID:
11331
Storage Buffer:
Store at -20℃. Avoid freeze / thaw cycles.Buffer: PBS with 0.02% sodium azide,50% glycerol,pH7.3.
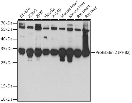
Western blot analysis of various lysates using Prohibitin 2 (PHB2) Rabbit pAb (CAB4504) at 1:1000 dilution.Secondary antibody: HRP Goat Anti-Rabbit IgG (H+L) (CABS014) at 1:10000 dilution.Lysates/proteins: 25μg per lane.Blocking buffer: 3% nonfat dry milk in TBST.Detection: ECL Basic Kit (AbGn00020).Exposure time: 90s.