The Ubiquitin Antibody (CAB0162) is a high-quality antibody developed for reliable detection and analysis of target proteins. Polyubiquitin B is a protein involved in protein degradation and signaling pathways, and abnormalities in its function have been linked to various diseases, including cancer and neurodegenerative disorders.This antibody, generated in rabbits, exhibits high reactivity with human samples and has been validated for use in Western blot applications. By specifically targeting polyubiquitin B, researchers can accurately detect and analyze its presence in different cell types, allowing for a better understanding of its biological functions.
This antibody is validated for use in WB, IHC-P, ELISA applications and has demonstrated reactivity against Human, Mouse, Rat samples.
Product Name:
Ubiquitin Antibody
SKU:
CAB0162
Size:
20μL, 100μL
Reactivity:
Human, Mouse, Rat
Conjugate:
Unconjugated
Immunogen:
Recombinant protein (or fragment).This information is considered to be commercially sensitive.
Recommended starting concentration is 1 μg/mL. Please optimize the concentration based on your specific assay requirements.
Synonyms:
HEL-S-50, Ubiquitin
Positive Sample:
HeLa treated with MG132, C6 treated with MG132, NIH/3T3 treated with MG132
Cellular Localization:
Cytoplasm, Nucleus.
Calculated MW:
26kDa
Observed MW:
>10kDa
This gene encodes ubiquitin, one of the most conserved proteins known. Ubiquitin has a major role in targeting cellular proteins for degradation by the 26S proteosome. It is also involved in the maintenance of chromatin structure, the regulation of gene expression, and the stress response. Ubiquitin is synthesized as a precursor protein consisting of either polyubiquitin chains or a single ubiquitin moiety fused to an unrelated protein. This gene consists of three direct repeats of the ubiquitin coding sequence with no spacer sequence. Consequently, the protein is expressed as a polyubiquitin precursor with a final amino acid after the last repeat. An aberrant form of this protein has been detected in patients with Alzheimer's disease and Down syndrome. Pseudogenes of this gene are located on chromosomes 1, 2, 13, and 17. Alternative splicing results in multiple transcript variants.
Purification Method
Affinity purification
Gene ID
7314
RRID
AB_2756992
Buffer Information
Store at -20℃. Avoid freeze / thaw cycles. Buffer: PBS containing 50% glycerol, preserved with proclin300 or sodium azide, pH 7.3.
Western blot analysis of lysates from HeLa cells using Ubiquitin Rabbit pAb (CAB0162) at 1:900 dilution. HeLa cells were treated with MG132(10 μM) at 37℃ for 90 minutes. Secondary antibody: HRP-conjugated Goat anti-Rabbit IgG (H+L) (CABS014) at 1:10000 dilution. Lysates/proteins: 25 μg per lane. Blocking buffer: 3% nonfat dry milk in TBST. Detection: ECL Basic Kit (AbGn00020). Exposure time: 20s.
Western blot analysis of lysates from NIH/3T3 cells using Ubiquitin Rabbit pAb (CAB0162) at 1:900 dilution. NIH/3T3 cells were treated with MG132(50 μM) at 37℃ for 90 minutes. Secondary antibody: HRP-conjugated Goat anti-Rabbit IgG (H+L) (CABS014) at 1:10000 dilution. Lysates/proteins: 25 μg per lane. Blocking buffer: 3% nonfat dry milk in TBST. Detection: ECL Basic Kit (AbGn00020). Exposure time: 20s.
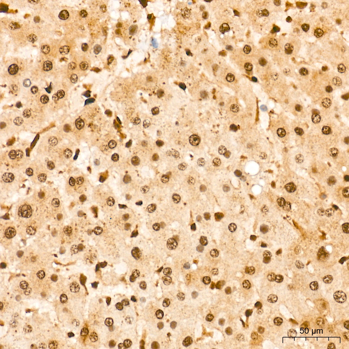
Immunohistochemistry analysis of paraffin-embedded Human liver tissue using Ubiquitin Rabbit pAb (CAB0162) at a dilution of 1:2000 (40x lens). High pressure antigen retrieval performed with 0.01M Tris-EDTA Buffer (pH 9.0) prior to IHC staining.
Immunohistochemistry analysis of paraffin-embedded Human kidney tissue using Ubiquitin Rabbit pAb (CAB0162) at a dilution of 1:2000 (40x lens). High pressure antigen retrieval performed with 0.01M Tris-EDTA Buffer (pH 9.0) prior to IHC staining.
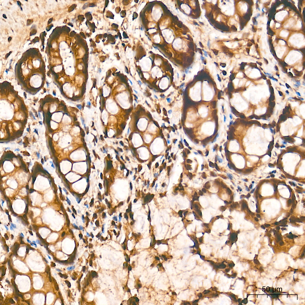
Immunohistochemistry analysis of paraffin-embedded Rat colon tissue using Ubiquitin Rabbit pAb (CAB0162) at a dilution of 1:2000 (40x lens). High pressure antigen retrieval performed with 0.01M Tris-EDTA Buffer (pH 9.0) prior to IHC staining.
Immunohistochemistry analysis of paraffin-embedded Rat colon tissue using Ubiquitin Rabbit pAb (CAB0162) at a dilution of 1:2000 (40x lens). High pressure antigen retrieval performed with 0.01M Tris-EDTA Buffer (pH 9.0) prior to IHC staining.