The RLN2 Antibody (CAB6969) is a high-quality antibody developed for reliable detection and analysis of target proteins. This antibody, produced and validated in rabbits, specifically targets Prorelaxin H2 and is highly reactive with human samples, making it ideal for use in various research applications, including Western blotting.Prorelaxin H2 is known for its role in promoting vasodilation and relaxation of smooth muscle, making it a key player in reproductive processes and cardiovascular health.
This antibody is validated for use in WB, IHC-P, ELISA applications and has demonstrated reactivity against Human, Rat samples.
Product Name:
RLN2 Antibody
SKU:
CAB6969
Size:
20μL, 100μL
Reactivity:
Human, Rat
Conjugate:
Unconjugated
Immunogen:
Recombinant protein (or fragment).This information is considered to be commercially sensitive.
Recommended starting concentration is 1 μg/mL. Please optimize the concentration based on your specific assay requirements.
Synonyms:
H2, RLXH2, H2-RLX, bA12D24.1.1, bA12D24.1.2, RLN2
Positive Sample:
22Rv1
Cellular Localization:
Secreted.
Calculated MW:
21kDa
Observed MW:
21kDa
This gene encodes a member of the relaxin subfamily and insulin superfamily of peptide hormones. In humans there are three non-allelic relaxin genes. This gene encodes multiple protein isoforms, at least one of which undergoes proteolytic processing. This processing generates relaxin A and B chains that are linked by disulfide bonds to form the mature peptide hormone. This hormone plays a role in the male and female reproductive systems and was initially noted for its role in pregnancy. This protein also plays broader roles in the cardiovascular system, including in the regulation of blood pressure and control of heart rate, and data from animal models shows that this protein may have anti-fibrotic and cardioprotective effects.
Purification Method
Affinity purification
Gene ID
6019
RRID
AB_2767527
Buffer Information
Store at -20℃. Avoid freeze / thaw cycles. Buffer: PBS containing 50% glycerol, preserved with proclin300 or sodium azide, pH 7.3.
Western blot analysis of lysates from 22Rv1 cells, using RLN2 Rabbit pAb (CAB6969) at 1:1000 dilution. Secondary antibody: HRP-conjugated Goat anti-Rabbit IgG (H+L) (CABS014) at 1:10000 dilution. Lysates/proteins: 25μg per lane. Blocking buffer: 3% nonfat dry milk in TBST. Detection: ECL Basic Kit (AbGn00020). Exposure time: 30s.
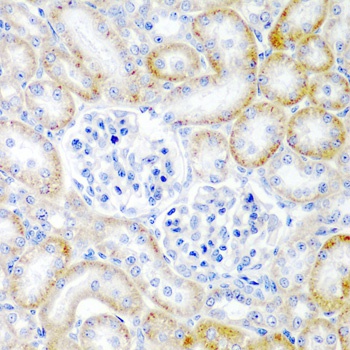
Immunohistochemistry analysis of paraffin-embedded Rat kidney using RLN2 Rabbit pAb (CAB6969) at dilution of 1:200 (40x lens). Microwave antigen retrieval performed with 0.01M PBS Buffer (pH 7.2) prior to IHC staining.