The FAM20A Antibody (CAB8496) is a high-quality antibody developed for reliable detection and analysis of target proteins. This antibody is raised in rabbits and has high reactivity with human samples, making it an excellent choice for Western blot applications.FAM20A is believed to play a role in the regulation of biomineralization and has been implicated in various diseases, including dental disorders and certain types of cancer.
This antibody is validated for use in WB, IHC-P, ELISA applications and has demonstrated reactivity against Human, Mouse, Rat samples.
Product Name:
FAM20A Antibody
SKU:
CAB8496
Size:
20μL, 100μL
Reactivity:
Human, Mouse, Rat
Conjugate:
Unconjugated
Immunogen:
Recombinant protein (or fragment).This information is considered to be commercially sensitive.
Recommended starting concentration is 1 μg/mL. Please optimize the concentration based on your specific assay requirements.
Synonyms:
AI1G, AIGFS, FP2747, FAM20A
Positive Sample:
SH-SY5Y, Mouse small intestine, Mouse brain, Rat liver
Cellular Localization:
Endoplasmic Reticulum, Golgi Apparatus, Secreted.
Calculated MW:
61kDa
Observed MW:
54kDa
This locus encodes a protein that is likely secreted and may function in hematopoiesis. A mutation at this locus has been associated with amelogenesis imperfecta and gingival hyperplasia syndrome. Alternatively spliced transcript variants have been identified.
Purification Method
Affinity purification
Gene ID
54757
RRID
AB_2769407
Buffer Information
Store at -20℃. Avoid freeze / thaw cycles. Buffer: PBS containing 50% glycerol, preserved with proclin300 or sodium azide, pH 7.3.
Western blot analysis of various lysates using FAM20A Rabbit pAb (CAB8496) at 1:1000 dilution. Secondary antibody: HRP-conjugated Goat anti-Rabbit IgG (H+L) (CABS014) at 1:10000 dilution. Lysates/proteins: 25μg per lane. Blocking buffer: 3% nonfat dry milk in TBST. Detection: ECL Basic Kit (AbGn00020). Exposure time: 5s.
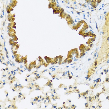
Immunohistochemistry analysis of paraffin-embedded Rat lung using FAM20A Rabbit pAb (CAB8496) at dilution of 1:100 (40x lens). Microwave antigen retrieval performed with 0.01M PBS Buffer (pH 7.2) prior to IHC staining.
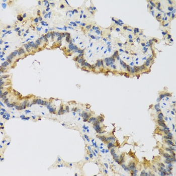
Immunohistochemistry analysis of paraffin-embedded Mouse lung using FAM20A Rabbit pAb (CAB8496) at dilution of 1:100 (40x lens). Microwave antigen retrieval performed with 0.01M PBS Buffer (pH 7.2) prior to IHC staining.