The PSG1 Antibody (CAB6399) is a high-quality antibody developed for reliable detection and analysis of target proteins. This antibody, raised in rabbits, exhibits high reactivity with human samples and is recommended for use in Western blot applications. By binding specifically to the PSG1 protein, this antibody enables researchers to detect and analyze PSG1 in a variety of cell types, making it an ideal choice for studies related to reproductive biology and immune function.
This antibody is validated for use in WB, IHC-P, ELISA, IF-P applications and has demonstrated reactivity against Human samples.
Product Name:
PSG1 Antibody
SKU:
CAB6399
Size:
20μL, 100μL
Reactivity:
Human
Conjugate:
Unconjugated
Immunogen:
Recombinant protein (or fragment).This information is considered to be commercially sensitive.
The human placenta is a multihormonal endocrine organ that produces hormones, enzymes, and other molecules that support fetal survival and development. Pregnancy-specific beta-1-glycoprotein (PSBG, PSG) is a major product of the syncytiotrophoblast, reaching concentrations of 100 to 290 mg/l at term in the serum of pregnant women (Horne et al., 1976 [PubMed 971765]). PSG is a member of the immunoglobulin (Ig) superfamily (Watanabe and Chou, 1988 [PubMed 3257488]; Streydio et al., 1988 [PubMed 3260773]).
Purification Method
Affinity purification
Gene ID
5669
RRID
AB_2767001
Buffer Information
Store at -20℃. Avoid freeze / thaw cycles. Buffer: PBS containing 50% glycerol, preserved with proclin300 or sodium azide, pH 7.3.
Western blot analysis of various lysates using PSG1 Rabbit pAb (CAB6399) at 1:1000 dilution. Secondary antibody: HRP-conjugated Goat anti-Rabbit IgG (H+L) (CABS014) at 1:10000 dilution. Lysates/proteins: 25μg per lane. Blocking buffer: 3% nonfat dry milk in TBST. Detection: ECL Basic Kit (AbGn00020). Exposure time: 90s.
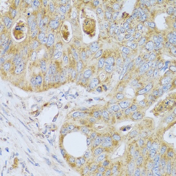
Immunohistochemistry analysis of paraffin-embedded Human colon carcinoma using PSG1 Rabbit pAb (CAB6399) at dilution of 1:100 (40x lens). Microwave antigen retrieval performed with 0.01M PBS Buffer (pH 7.2) prior to IHC staining.
Immunofluorescence analysis of paraffin-embedded human placenta using PSG1 Rabbit pAb (CAB6399) at dilution of 1:100. Secondary antibody: Cy3-conjugated Goat anti-Rabbit IgG (H+L) (CABS007) at 1:500 dilution. Blue: DAPI for nuclear staining.