The PTGIR Antibody (CAB1849) is a high-quality antibody developed for reliable detection and analysis of target proteins. This antibody, generated in rabbits, has high reactivity with human samples and has been validated for use in Western blot applications. By binding specifically to the PTGIR protein, this antibody allows for accurate detection and analysis in various cell types, making it an essential component for studies in pharmacology and cardiovascular research.The PTGIR receptor, also known as prostacyclin receptor, is involved in mediating vasodilation and inhibiting platelet aggregation, making it a crucial target for understanding cardiovascular health and inflammation regulation.
This antibody is validated for use in WB, IHC-P, ELISA applications and has demonstrated reactivity against Human, Mouse, Rat samples.
Product Name:
PTGIR Antibody
SKU:
CAB1849
Size:
20μL, 100μL
Reactivity:
Human, Mouse, Rat
Conjugate:
Unconjugated
Immunogen:
Recombinant protein (or fragment).This information is considered to be commercially sensitive.
Recommended starting concentration is 1 μg/mL. Please optimize the concentration based on your specific assay requirements.
Synonyms:
IP, PRIPR, PTGIR
Positive Sample:
Mouse eye, Mouse liver
Cellular Localization:
Cell Membrane, Multi-Pass Membrane Protein.
Calculated MW:
41kDa
Observed MW:
41kDa
The protein encoded by this gene is a member of the G-protein coupled receptor family 1 and has been shown to be a receptor for prostacyclin. Prostacyclin, the major product of cyclooxygenase in macrovascular endothelium, elicits a potent vasodilation and inhibition of platelet aggregation through binding to this receptor.
Purification Method
Affinity purification
Gene ID
5739
RRID
AB_2763885
Buffer Information
Store at -20℃. Avoid freeze / thaw cycles. Buffer: PBS containing 50% glycerol, preserved with proclin300 or sodium azide, pH 7.3.
Western blot analysis of various lysates using PTGIR Rabbit pAb (CAB1849) at 1:1000 dilution. Secondary antibody: HRP-conjugated Goat anti-Rabbit IgG (H+L) (CABS014) at 1:10000 dilution. Lysates/proteins: 25μg per lane. Blocking buffer: 3% nonfat dry milk in TBST. Detection: ECL Enhanced Kit (AbGn00021). Exposure time: 90s.
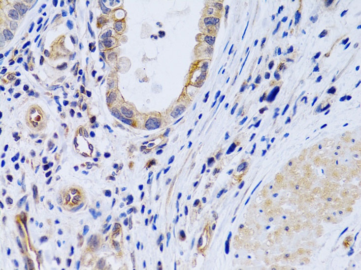
Immunohistochemistry analysis of paraffin-embedded Human gastric cancer using PTGIR Rabbit pAb (CAB1849) at dilution of 1:200 (40x lens). Microwave antigen retrieval performed with 0.01M PBS Buffer (pH 7.2) prior to IHC staining.