The PTPN23 Antibody (CAB4595) is a high-quality antibody developed for reliable detection and analysis of target proteins. This antibody, generated in rabbits, exhibits high reactivity with human samples and has been validated for use in Western blot applications.PTPN23 is a key player in signal transduction pathways, modulating the activity of numerous proteins by removing phosphate groups from tyrosine residues. Dysregulation of PTPN23 has been associated with cancer progression, immune disorders, and metabolic diseases, making it an attractive target for therapeutic interventions.
This antibody is validated for use in WB, IHC-P, ELISA applications and has demonstrated reactivity against Mouse, Rat samples.
Product Name:
PTPN23 Antibody
SKU:
CAB4595
Size:
20μL, 100μL
Reactivity:
Mouse, Rat
Conjugate:
Unconjugated
Immunogen:
Recombinant protein (or fragment).This information is considered to be commercially sensitive.
This gene encodes a member of the non-receptor type protein-tyrosine phosphatase family. The encoded protein may be involved in the regulation of small nuclear ribonucleo protein assembly and pre-mRNA splicing by modifying the survival motor neuron (SMN) complex. The encoded protein additionally plays a role in ciliogenesis and is part of endosomal sorting complex required for transport (ESCRT) pathways. This gene may serve a tumor suppressor function.
Purification Method
Affinity purification
Gene ID
25930
RRID
AB_2765774
Buffer Information
Store at -20℃. Avoid freeze / thaw cycles. Buffer: PBS containing 50% glycerol, preserved with proclin300 or sodium azide, pH 7.3.
Western blot analysis of various lysates using PTPN23 Rabbit pAb (CAB4595) at 1:1000 dilution. Secondary antibody: HRP-conjugated Goat anti-Rabbit IgG (H+L) (CABS014) at 1:10000 dilution. Lysates/proteins: 25μg per lane. Blocking buffer: 3% nonfat dry milk in TBST. Detection: ECL Basic Kit (AbGn00020). Exposure time: 5s.
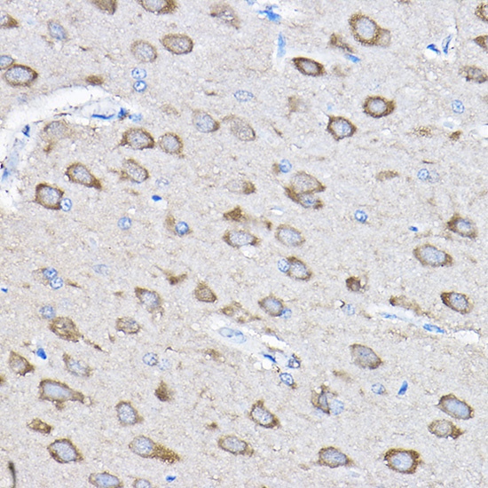
Immunohistochemistry analysis of paraffin-embedded Rat brain using PTPN23 Rabbit pAb (CAB4595) at dilution of 1:100 (40x lens). High pressure antigen retrieval performed with 0.01M Citrate buffer (pH 6.0) prior to IHC staining.