The RBM25 Antibody (CAB15496) is a high-quality antibody developed for reliable detection and analysis of target proteins. This antibody, generated in rabbits, is highly specific to human samples and has been rigorously validated for Western blot applications. By targeting the RBM25 protein, this antibody enables precise detection and analysis in diverse cell types, making it perfect for investigations in molecular biology and cancer research.
This antibody is validated for use in WB, IF/ICC, ELISA applications and has demonstrated reactivity against Human, Mouse samples.
Product Name:
RBM25 Antibody
SKU:
CAB15496
Size:
20μL, 100μL
Reactivity:
Human, Mouse
Conjugate:
Unconjugated
Immunogen:
Recombinant protein (or fragment).This information is considered to be commercially sensitive.
Enables mRNA binding activity. Involved in regulation of alternative mRNA splicing, via spliceosome and regulation of apoptotic process. Located in nuclear speck.
Purification Method
Affinity purification
Gene ID
58517
RRID
AB_2762896
Buffer Information
Store at -20℃. Avoid freeze / thaw cycles. Buffer: PBS with 0.01% thimerosal,50% glycerol,pH7.3.
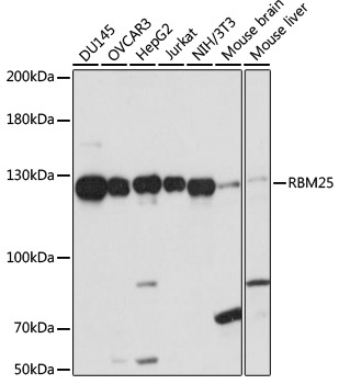
Western blot analysis of various lysates using RBM25 Rabbit pAb (CAB15496) at 1:1000 dilution. Secondary antibody: HRP-conjugated Goat anti-Rabbit IgG (H+L) (CABS014) at 1:10000 dilution. Lysates/proteins: 25μg per lane. Blocking buffer: 3% nonfat dry milk in TBST. Detection: ECL Basic Kit (AbGn00020). Exposure time: 60s.
Immunofluorescence analysis of U-2 OS cells using RBM25 Rabbit pAb (CAB15496) at dilution of 1:100. Secondary antibody: Cy3-conjugated Goat anti-Rabbit IgG (H+L) (CABS007) at 1:500 dilution. Blue: DAPI for nuclear staining.