The RPA70/RPA1 Antibody (CAB0874) is a high-quality antibody developed for reliable detection and analysis of target proteins. This antibody, specifically developed for use in Western blot applications, offers high reactivity with human samples, allowing for accurate detection and analysis of RPA1 in various cell types.RPA1, also known as Replication Protein A1, plays a crucial role in maintaining DNA integrity and stability, making it a key player in cellular processes such as DNA replication, DNA damage response, and cell cycle regulation.
This antibody is validated for use in WB, IHC-P, ELISA applications and has demonstrated reactivity against Human samples.
Product Name:
RPA70/RPA1 Antibody
SKU:
CAB0874
Size:
20μL, 100μL
Reactivity:
Human
Conjugate:
Unconjugated
Immunogen:
Recombinant protein (or fragment).This information is considered to be commercially sensitive.
This gene encodes the largest subunit of the heterotrimeric Replication Protein A (RPA) complex, which binds to single-stranded DNA (ssDNA), forming a nucleoprotein complex that plays an important role in DNA metabolism, being involved in DNA replication, repair, recombination, telomere maintenance, and co-ordinating the cellular response to DNA damage through activation of the ataxia telangiectasia and Rad3-related protein (ATR) kinase. The nucleoprotein complex protects the single-stranded DNA from nucleases, prevents formation of secondary structures that would interfere with repair, and co-ordinates the recruitment and departure of different genome maintenance factors. This subunit contains four oligonucleotide/oligosaccharide-binding (OB) domains, though the majority of ssDNA binding occurs in two of these domains. The heterotrimeric complex has two different modes of ssDNA binding, a low-affinity and high-affinity mode, determined by which ssDNA binding domains are utilized. The different binding modes differ in the length of DNA bound and in the proteins with which it interacts, thereby playing a role in regulating different genomic maintenance pathways.
Purification Method
Affinity purification
Gene ID
6117
RRID
AB_2757437
Buffer Information
Store at -20℃. Avoid freeze / thaw cycles. Buffer: PBS with 0.01% thimerosal,50% glycerol,pH7.3.
Western blot analysis of various lysates using RPA70/RPA1 Rabbit pAb (CAB0874) at 1:3000 dilution. Secondary antibody: HRP-conjugated Goat anti-Rabbit IgG (H+L) (CABS014) at 1:10000 dilution. Lysates/proteins: 25μg per lane. Blocking buffer: 3% nonfat dry milk in TBST. Detection: ECL Basic Kit (AbGn00020). Exposure time: 30s.
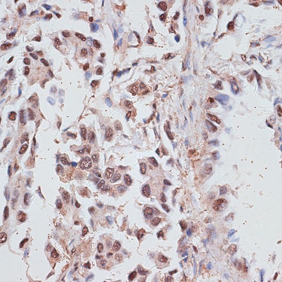
Immunohistochemistry analysis of paraffin-embedded Human lung cancer using RPA70/RPA1 Rabbit pAb (CAB0874) at dilution of 1:100 (40x lens). Microwave antigen retrieval performed with 0.01M PBS Buffer (pH 7.2) prior to IHC staining.