The RPS13 Antibody (CAB15720) is a high-quality antibody developed for reliable detection and analysis of target proteins. This antibody, generated in rabbits, exhibits high specificity and sensitivity when detecting RPS13 in human samples, making it ideal for Western blot applications. By targeting the RPS13 protein, this antibody enables precise detection and analysis in a variety of cell types, facilitating research in molecular biology and protein synthesis mechanisms.RPS13, a component of the small ribosomal subunit, is involved in the translation process, ensuring accurate protein synthesis and cellular function.
This antibody is validated for use in WB, IHC-P, IF/ICC, ELISA applications and has demonstrated reactivity against Human, Mouse, Rat samples.
Product Name:
RPS13 Antibody
SKU:
CAB15720
Size:
20μL, 100μL
Reactivity:
Human, Mouse, Rat
Conjugate:
Unconjugated
Immunogen:
Recombinant protein (or fragment).This information is considered to be commercially sensitive.
Ribosomes, the organelles that catalyze protein synthesis, consist of a small 40S subunit and a large 60S subunit. Together these subunits are composed of 4 RNA species and approximately 80 structurally distinct proteins. This gene encodes a ribosomal protein that is a component of the 40S subunit. The protein belongs to the S15P family of ribosomal proteins. It is located in the cytoplasm. The protein has been shown to bind to the 5.8S rRNA in rat. The gene product of the E. coli ortholog (ribosomal protein S15) functions at early steps in ribosome assembly. This gene is co-transcribed with two U14 small nucleolar RNA genes, which are located in its third and fifth introns. As is typical for genes encoding ribosomal proteins, there are multiple processed pseudogenes of this gene dispersed through the genome.
Purification Method
Affinity purification
Gene ID
6207
RRID
AB_2763134
Buffer Information
Store at -20℃. Avoid freeze / thaw cycles. Buffer: PBS with 0.01% thimerosal,50% glycerol,pH7.3.
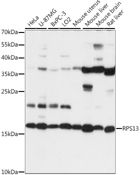
Western blot analysis of various lysates using RPS13 Rabbit pAb (CAB15720) at 1:1000 dilution. Secondary antibody: HRP-conjugated Goat anti-Rabbit IgG (H+L) (CABS014) at 1:10000 dilution. Lysates/proteins: 25μg per lane. Blocking buffer: 3% nonfat dry milk in TBST. Detection: ECL Basic Kit (AbGn00020). Exposure time: 20s.
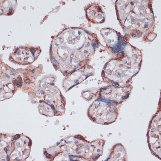
Immunohistochemistry analysis of paraffin-embedded Human placenta using RPS13 Rabbit pAb (CAB15720) at dilution of 1:100 (40x lens). Microwave antigen retrieval performed with 0.01M PBS Buffer (pH 7.2) prior to IHC staining.
Immunofluorescence analysis of U-2 OS cells using RPS13 Rabbit pAb (CAB15720) at dilution of 1:100. Secondary antibody: Cy3-conjugated Goat anti-Rabbit IgG (H+L) (CABS007) at 1:500 dilution. Blue: DAPI for nuclear staining.