The RRAGA Antibody (CAB15134) is a high-quality antibody developed for reliable detection and analysis of target proteins. This antibody is produced in rabbits and demonstrates high reactivity with human samples, making it ideal for Western blot applications. By targeting the RRAGA protein, this antibody enables precise detection and analysis in various cell types, offering insights into the role of RRAGA in cellular processes.RRAGA is known for its significance in the mTOR signaling pathway, which plays a critical role in regulating cell growth, proliferation, and survival. Dysregulation of this pathway has been implicated in various diseases, including cancer and metabolic disorders.
This antibody is validated for use in WB, IHC-P, ELISA applications and has demonstrated reactivity against Human, Mouse, Rat samples.
Product Name:
RRAGA Antibody
SKU:
CAB15134
Size:
20μL, 100μL
Reactivity:
Human, Mouse, Rat
Conjugate:
Unconjugated
Immunogen:
Synthetic peptide. This information is considered to be commercially sensitive.
Recommended starting concentration is 1 μg/mL. Please optimize the concentration based on your specific assay requirements.
Synonyms:
FIP1, RAGA, FIP-1, RRAGA
Positive Sample:
293T, Mouse brain, Rat brain, Rat kidney
Cellular Localization:
Cytoplasm, Lysosome, Nucleus.
Calculated MW:
37kDa
Observed MW:
33kDa
Enables several functions, including GTP binding activity; protein dimerization activity; and ubiquitin protein ligase binding activity. Involved in several processes, including cellular response to amino acid starvation; negative regulation of autophagy; and positive regulation of TORC1 signaling. Located in lysosome and nucleus. Colocalizes with GATOR1 complex.
Purification Method
Affinity purification
Gene ID
10670
RRID
AB_2762020
Buffer Information
Store at -20℃. Avoid freeze / thaw cycles. Buffer: PBS containing 50% glycerol, preserved with proclin300 or sodium azide, pH 7.3.
Western blot analysis of various lysates using RRAGA Rabbit pAb (CAB15134) at 1:1000 dilution. Secondary antibody: HRP-conjugated Goat anti-Rabbit IgG (H+L) (CABS014) at 1:10000 dilution. Lysates/proteins: 25μg per lane. Blocking buffer: 3% nonfat dry milk in TBST. Detection: ECL Basic Kit (AbGn00020). Exposure time: 30s.
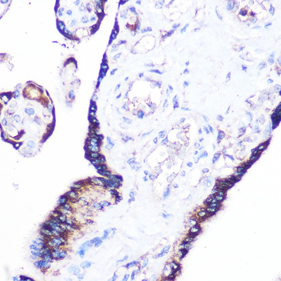
Immunohistochemistry analysis of paraffin-embedded Human placenta using RRAGA Rabbit pAb (CAB15134) at dilution of 1:100 (40x lens). Microwave antigen retrieval performed with 0.01M Tris/EDTA Buffer (pH 9.0) prior to IHC staining.