The RRAGD Antibody (CAB9979) is a high-quality antibody developed for reliable detection and analysis of target proteins. This antibody is raised in rabbits and is highly specific for human samples, making it ideal for Western blot applications. By targeting the RRAGD protein, this antibody allows for the accurate detection and analysis of RRAGD levels in various cell types.RRAGD is a critical component in the mTOR signaling pathway, which plays a crucial role in cellular growth and metabolism. Dysregulation of this pathway has been implicated in various diseases, including cancer, metabolic disorders, and neurodegenerative diseases.
This antibody is validated for use in WB, IHC-P, ELISA applications and has demonstrated reactivity against Human, Mouse, Rat samples.
Product Name:
RRAGD Antibody
SKU:
CAB9979
Size:
20μL, 100μL
Reactivity:
Human, Mouse, Rat
Conjugate:
Unconjugated
Immunogen:
Recombinant protein (or fragment).This information is considered to be commercially sensitive.
RRAGD is a monomeric guanine nucleotide-binding protein, or G protein. By binding GTP or GDP, small G proteins act as molecular switches in numerous cell processes and signaling pathways.
Purification Method
Affinity purification
Gene ID
58528
RRID
AB_2772112
Buffer Information
Store at -20℃. Avoid freeze / thaw cycles. Buffer: PBS containing 50% glycerol, preserved with proclin300 or sodium azide, pH 7.3.
Western blot analysis of various lysates using RRAGD Rabbit pAb (CAB9979) at 1:1000 dilution. Secondary antibody: HRP-conjugated Goat anti-Rabbit IgG (H+L) (CABS014) at 1:10000 dilution. Lysates/proteins: 25μg per lane. Blocking buffer: 3% nonfat dry milk in TBST. Detection: ECL Basic Kit (AbGn00020). Exposure time: 1s.
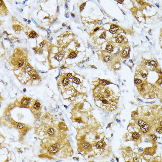
Immunohistochemistry analysis of paraffin-embedded Human liver cancer using RRAGD Rabbit pAb (CAB9979) at dilution of 1:100 (40x lens). Microwave antigen retrieval performed with 0.01M PBS Buffer (pH 7.2) prior to IHC staining.