The Sall4 Monoclonal Antibody (CAB22747) is a high-quality antibody developed for reliable detection and analysis of target proteins. This antibody, produced through monoclonal antibody technology, shows high specificity and sensitivity in detecting SALL4 in various experimental settings, including immunofluorescence, immunohistochemistry, and flow cytometry.SALL4 is a transcription factor known for its essential roles in embryonic development, tissue regeneration, and cancer progression.
This antibody is validated for use in IHC-P, ELISA applications and has demonstrated reactivity against Human samples.
Product Name:
Sall4 Monoclonal Antibody
SKU:
CAB22747
Size:
20μL, 100μL
Reactivity:
Human
Clone Number:
ARC57452
Conjugate:
Unconjugated
Immunogen:
Recombinant protein (or fragment).This information is considered to be commercially sensitive.
Tested Applications:
IHC-PELISA
Recommended Dilution:
IHC-P
1:100 - 1:500
ELISA
Recommended starting concentration is 1 μg/mL. Please optimize the concentration based on your specific assay requirements.
Synonyms:
DRRS, IVIC, HSAL4, ZNF797, Sall4
Cellular Localization:
Nucleus.
Calculated MW:
112kDa
Observed MW:
Refertofigures
This gene encodes a zinc finger transcription factor thought to play a role in the development of abducens motor neurons. Defects in this gene are a cause of Duane-radial ray syndrome (DRRS). Alternative splicing results in multiple transcript variants encoding different isoforms.
Purification Method
Affinity purification
Gene ID
57167
Buffer Information
Store at -20℃. Avoid freeze / thaw cycles. Buffer: PBS containing 50% glycerol and 0.05% BSA, preserved with proclin300 or sodium azide, pH 7.3.
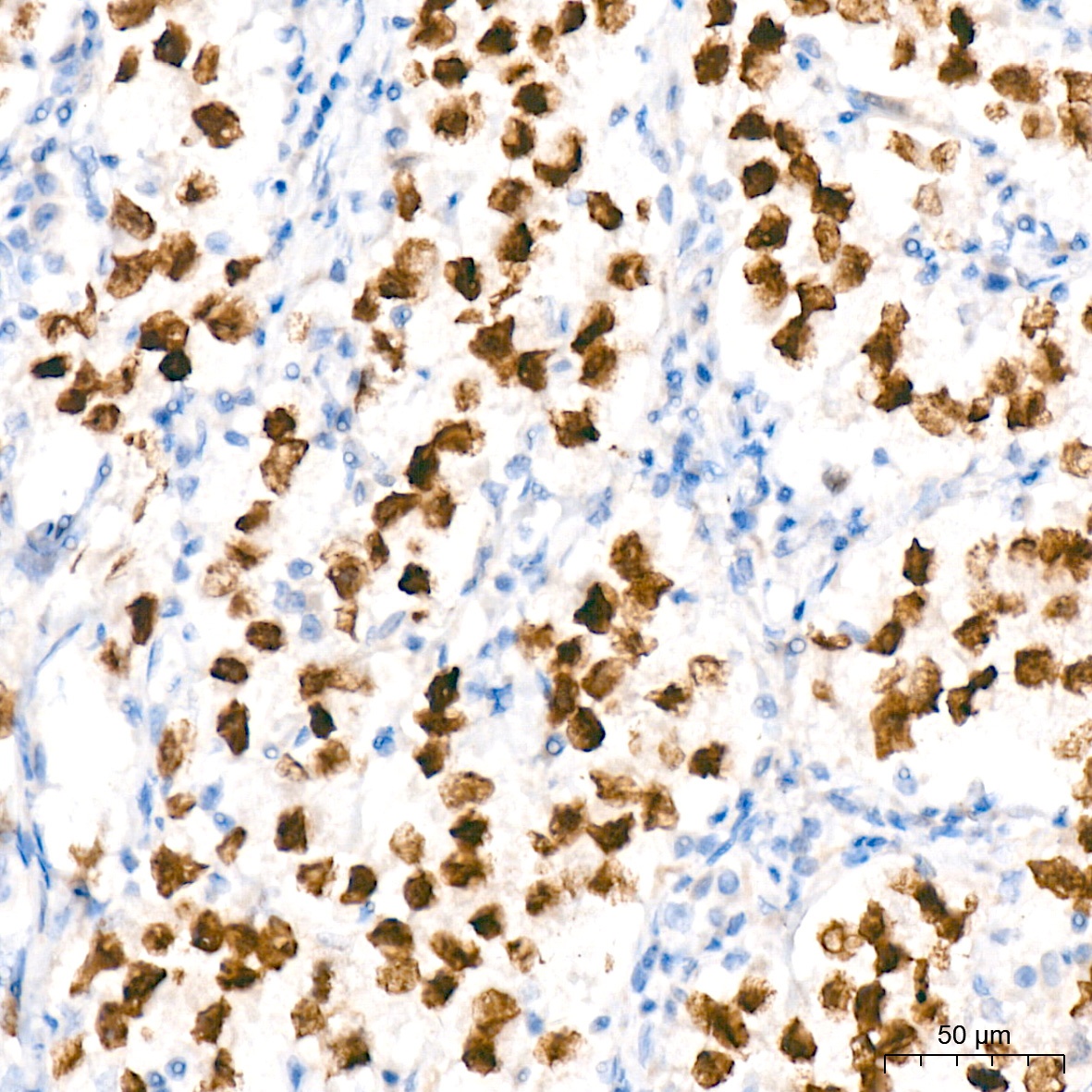
Immunohistochemistry analysis of paraffin-embedded Human embryonic carcinoma using Sall4 Rabbit mAb (CAB22747) at dilution of 1:200 (40x lens). High pressure antigen retrieval performed with 0.01M Tris/EDTA Buffer (pH 9.0) prior to IHC staining.
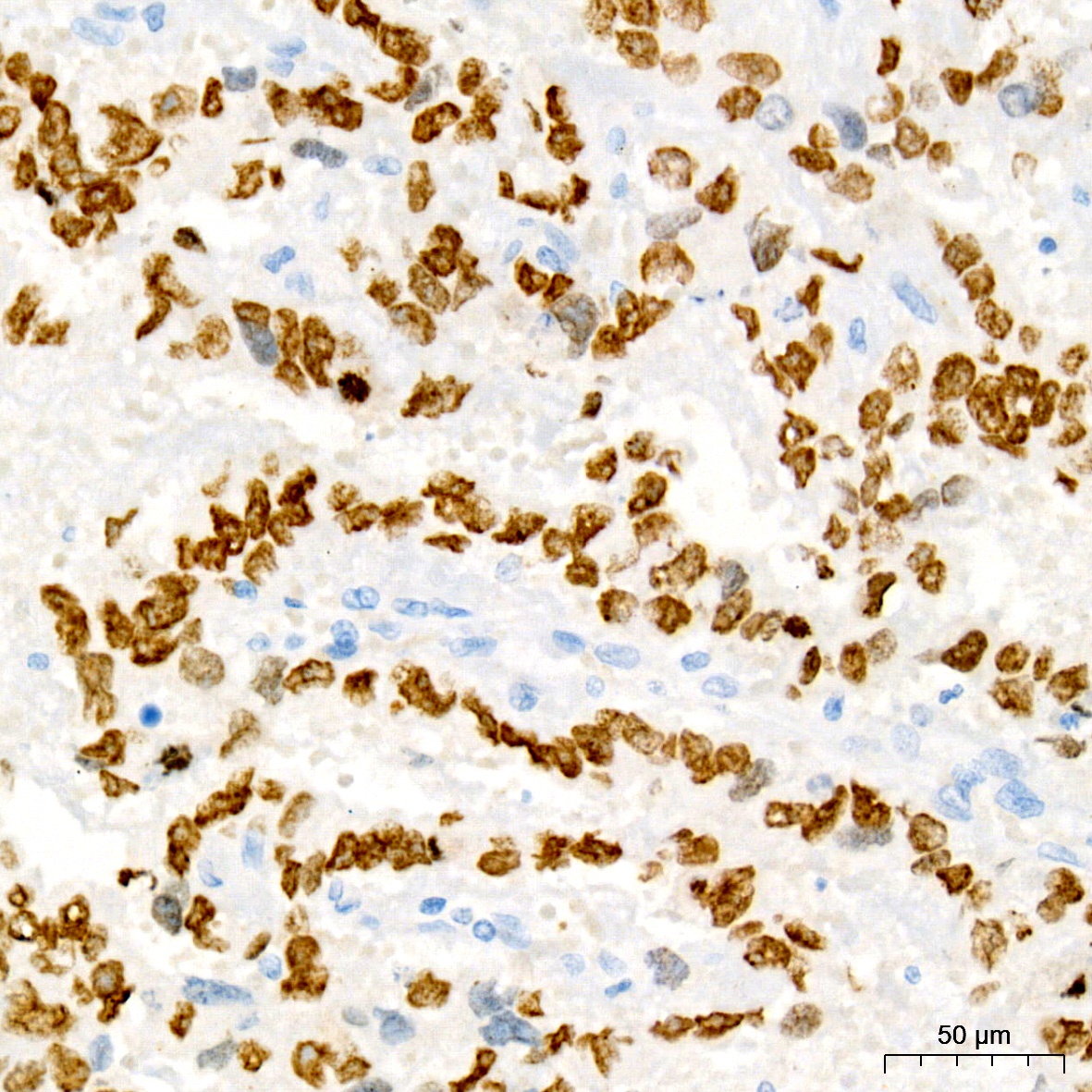
Immunohistochemistry analysis of paraffin-embedded Human seminoma tissue using Sall4 Rabbit mAb (CAB22747) at a dilution of 1:200 (40x lens). High pressure antigen retrieval was performed with 0.01 M Tris-EDTA buffer (pH 9.0) prior to IHC staining.