The SALL4 Antibody (CAB16193) is a high-quality antibody developed for reliable detection and analysis of target proteins. This antibody, produced in rabbits, exhibits high specificity and sensitivity for human samples, making it suitable for a variety of research applications, including Western blotting.SALL4 is known for its crucial function in self-renewal and maintenance of stem cells, making it a key player in regenerative medicine and cancer research.
This antibody is validated for use in WB, IHC-P, ELISA, IF-P applications and has demonstrated reactivity against Human, Mouse, Rat samples.
Product Name:
SALL4 Antibody
SKU:
CAB16193
Size:
20μL, 100μL
Reactivity:
Human, Mouse, Rat
Conjugate:
Unconjugated
Immunogen:
Recombinant protein (or fragment).This information is considered to be commercially sensitive.
Recommended starting concentration is 1 μg/mL. Please optimize the concentration based on your specific assay requirements.
Synonyms:
DRRS, IVIC, HSAL4, ZNF797, Sall4
Positive Sample:
HeLa, HepG2, Mouse liver, Rat liver
Cellular Localization:
Cytoplasm, Nucleus.
Calculated MW:
112kDa
Observed MW:
75kDa
This gene encodes a zinc finger transcription factor thought to play a role in the development of abducens motor neurons. Defects in this gene are a cause of Duane-radial ray syndrome (DRRS). Alternative splicing results in multiple transcript variants encoding different isoforms.
Purification Method
Affinity purification
Gene ID
57167
RRID
AB_2763645
Buffer Information
Store at -20℃. Avoid freeze / thaw cycles. Buffer: PBS with 0.01% thimerosal,50% glycerol,pH7.3.
Western blot analysis of various lysates using Sall4 Rabbit pAb (CAB16193) at 1:1000 dilution. Secondary antibody: HRP-conjugated Goat anti-Rabbit IgG (H+L) (CABS014) at 1:10000 dilution. Lysates/proteins: 25μg per lane. Blocking buffer: 3% nonfat dry milk in TBST. Detection: ECL Basic Kit (AbGn00020). Exposure time: 30s.
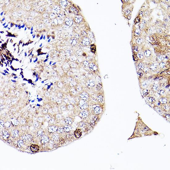
Immunohistochemistry analysis of paraffin-embedded Human testis using Sall4 Rabbit pAb (CAB16193) at dilution of 1:200 (40x lens). High pressure antigen retrieval performed with 0.01M Citrate buffer (pH 6.0) prior to IHC staining.
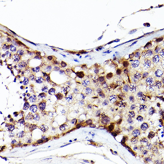
Immunohistochemistry analysis of paraffin-embedded Mouse testis using Sall4 Rabbit pAb (CAB16193) at dilution of 1:200 (40x lens). High pressure antigen retrieval performed with 0.01M Citrate buffer (pH 6.0) prior to IHC staining.
Immunofluorescence analysis of paraffin-embedded rat testis using Sall4 Rabbit pAb (CAB16193) at dilution of 1:100 (40x lens). Secondary antibody: Cy3-conjugated Goat anti-Rabbit IgG (H+L) (CABS007) at 1:500 dilution. Blue: DAPI for nuclear staining.