The SAMM50 Antibody (CAB3401) is a high-quality antibody developed for reliable detection and analysis of target proteins. This antibody, generated in rabbits, demonstrates high reactivity with human samples and has been validated for use in Western blot applications. By specifically binding to the SAMM50 protein, this antibody enables accurate detection and analysis in a variety of cell types, making it ideal for investigations in the fields of mitochondrial biology and cellular function.SAMM50 is known for its crucial role in mitochondrial protein import and assembly, making it a key player in maintaining mitochondrial function and cellular homeostasis.
This antibody is validated for use in WB, IHC-P, IP, ELISA applications and has demonstrated reactivity against Human, Mouse, Rat samples.
Product Name:
SAMM50 Antibody
SKU:
CAB3401
Size:
20μL, 100μL
Reactivity:
Human, Mouse, Rat
Conjugate:
Unconjugated
Immunogen:
Recombinant protein (or fragment).This information is considered to be commercially sensitive.
This gene encodes a component of the Sorting and Assembly Machinery (SAM) of the mitochondrial outer membrane. The Sam complex functions in the assembly of beta-barrel proteins into the outer mitochondrial membrane.
Purification Method
Affinity purification
Gene ID
25813
RRID
AB_2765092
Buffer Information
Store at -20℃. Avoid freeze / thaw cycles. Buffer: PBS containing 50% glycerol, preserved with proclin300 or sodium azide, pH 7.3.
Western blot analysis of various lysates using SAMM50 Rabbit pAb (CAB3401) at 1:1000 dilution. Secondary antibody: HRP-conjugated Goat anti-Rabbit IgG (H+L) (CABS014) at 1:10000 dilution. Lysates/proteins: 25μg per lane. Blocking buffer: 3% nonfat dry milk in TBST. Detection: ECL Basic Kit (AbGn00020). Exposure time: 30s.
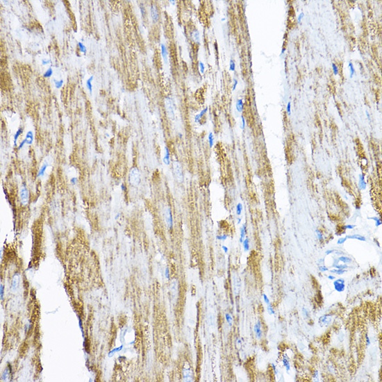
Immunohistochemistry analysis of paraffin-embedded Rat heart using SAMM50 Rabbit pAb (CAB3401) at dilution of 1:200 (40x lens). High pressure antigen retrieval performed with 0.01M Citrate buffer (pH 6.0) prior to IHC staining.
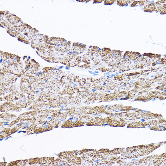
Immunohistochemistry analysis of paraffin-embedded Mouse heart using SAMM50 Rabbit pAb (CAB3401) at dilution of 1:200 (40x lens). High pressure antigen retrieval performed with 0.01M Citrate buffer (pH 6.0) prior to IHC staining.
Immunoprecipitation analysis of 600 μg extracts of Mouse heart cells using 3 μg SAMM50 antibody (CAB3401). Western blot was performed from the immunoprecipitate using SAMM50 antibody (CAB3401) at a dilution of 1:1000.