The SARS Antibody (CAB13350) is a high-quality antibody developed for reliable detection and analysis of target proteins. This polyclonal antibody, generated in rabbits, is highly specific and reactive with samples related to SARS, making it ideal for use in various research applications.SARS, a highly contagious and potentially deadly respiratory illness, has impacted global health in recent years, necessitating the need for effective research tools to study the virus and develop treatments. The SARS Polyclonal Antibody binds to specific proteins associated with the SARS-CoV-2 virus, allowing for the detection and analysis of viral components in samples from infected individuals.
This antibody is validated for use in WB, IHC-P, ELISA applications and has demonstrated reactivity against Human, Mouse, Rat samples.
Product Name:
SARS Antibody
SKU:
CAB13350
Size:
20μL, 100μL
Reactivity:
Human, Mouse, Rat
Conjugate:
Unconjugated
Immunogen:
Recombinant protein (or fragment).This information is considered to be commercially sensitive.
This gene belongs to the class II amino-acyl tRNA family. The encoded enzyme catalyzes the transfer of L-serine to tRNA (Ser) and is related to bacterial and yeast counterparts. Multiple alternatively spliced transcript variants have been described but the biological validity of all variants is unknown.
Purification Method
Affinity purification
Gene ID
6301
RRID
AB_2760208
Buffer Information
Store at -20℃. Avoid freeze / thaw cycles. Buffer: PBS containing 50% glycerol, preserved with proclin300 or sodium azide, pH 7.3.
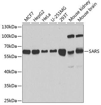
Western blot analysis of various lysates using SARS Rabbit pAb (CAB13350) at 1:1000 dilution. Secondary antibody: HRP-conjugated Goat anti-Rabbit IgG (H+L) (CABS014) at 1:10000 dilution. Lysates/proteins: 25μg per lane. Blocking buffer: 3% nonfat dry milk in TBST. Detection: ECL Basic Kit (AbGn00020). Exposure time: 90s.
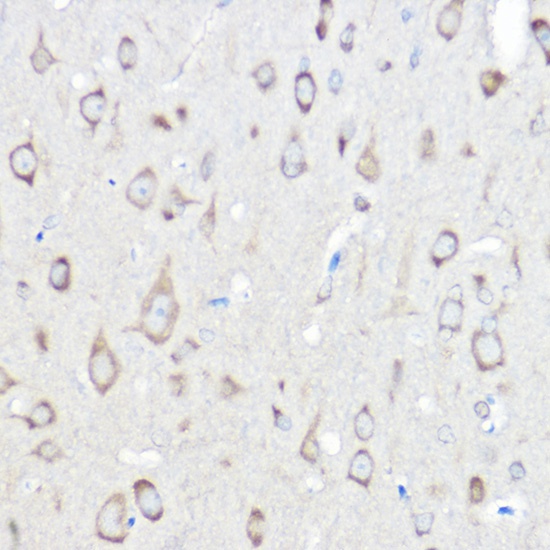
Immunohistochemistry analysis of paraffin-embedded Rat brain using SARS Rabbit pAb (CAB13350) at dilution of 1:100 (40x lens). High pressure antigen retrieval performed with 0.01M Citrate buffer (pH 6.0) prior to IHC staining.
Immunohistochemistry analysis of paraffin-embedded Mouse spinal cord using SARS Rabbit pAb (CAB13350) at dilution of 1:100 (40x lens). High pressure antigen retrieval performed with 0.01M Citrate buffer (pH 6.0) prior to IHC staining.