The SARS Antibody (CAB6733) is a high-quality antibody developed for reliable detection and analysis of target proteins. This antibody, produced in rabbits, is highly specific for detecting the SARS virus in human samples and has been validated for use in a variety of applications, including Western blotting.SARS is a highly contagious respiratory disease that can lead to severe respiratory distress and even death in some cases. Studying the SARS virus and understanding its mechanisms of infection and transmission is crucial for developing effective treatments and preventative measures.
This antibody is validated for use in WB, IHC-P, IF/ICC, ELISA applications and has demonstrated reactivity against Human, Mouse, Rat samples.
Product Name:
SARS Antibody
SKU:
CAB6733
Size:
20μL, 100μL
Reactivity:
Human, Mouse, Rat
Conjugate:
Unconjugated
Immunogen:
Recombinant protein (or fragment).This information is considered to be commercially sensitive.
Recommended starting concentration is 1 μg/mL. Please optimize the concentration based on your specific assay requirements.
Synonyms:
SARS, SERS, SERRS, NEDMAS
Positive Sample:
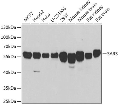
MCF7, HepG2, HeLa, U-251MG, 293T, Mouse kidney, Mouse brain, Rat kidney, Rat brain
Cellular Localization:
Cytoplasm.
Calculated MW:
59kDa
Observed MW:
59kDa
This gene belongs to the class II amino-acyl tRNA family. The encoded enzyme catalyzes the transfer of L-serine to tRNA (Ser) and is related to bacterial and yeast counterparts. Multiple alternatively spliced transcript variants have been described but the biological validity of all variants is unknown.
Purification Method
Affinity purification
Gene ID
6301
RRID
AB_2767317
Buffer Information
Store at -20℃. Avoid freeze / thaw cycles. Buffer: PBS containing 50% glycerol, preserved with proclin300 or sodium azide, pH 7.3.
Western blot analysis of various lysates using SARS Rabbit pAb (CAB6733) at 1:1000 dilution. Secondary antibody: HRP-conjugated Goat anti-Rabbit IgG (H+L) (CABS014) at 1:10000 dilution. Lysates/proteins: 25μg per lane. Blocking buffer: 3% nonfat dry milk in TBST. Detection: ECL Basic Kit (AbGn00020). Exposure time: 90s.
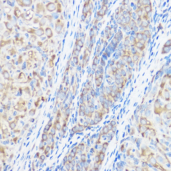
Immunohistochemistry analysis of paraffin-embedded Rat ovary using SARS Rabbit pAb (CAB6733) at dilution of 1:50 (40x lens). High pressure antigen retrieval performed with 0.01M Citrate buffer (pH 6.0) prior to IHC staining.