The SEC23IP Antibody (CAB15398) is a high-quality antibody developed for reliable detection and analysis of target proteins. This antibody, produced in rabbits, demonstrates high specificity and sensitivity for detecting SEC23IP in human samples, making it ideal for use in Western blot applications. By binding to the SEC23IP protein, this antibody enables the precise detection and analysis of SEC23IP in various cell types, supporting investigations in cell biology and molecular biology.SEC23IP is a key component of the COPII vesicle coat complex, which is responsible for transporting proteins from the endoplasmic reticulum to the Golgi apparatus. Dysfunction of SEC23IP can lead to disruptions in intracellular transport processes, impacting cell function and potentially contributing to disease development.
This antibody is validated for use in WB, IHC-P, IF/ICC, ELISA applications and has demonstrated reactivity against Human, Mouse, Rat samples.
Product Name:
SEC23IP Antibody
SKU:
CAB15398
Size:
20μL, 100μL
Reactivity:
Human, Mouse, Rat
Conjugate:
Unconjugated
Immunogen:
Recombinant protein (or fragment).This information is considered to be commercially sensitive.
This gene encodes a member of the phosphatidic acid preferring-phospholipase A1 family. The encoded protein is localized to endoplasmic reticulum exit sites and plays a critical role in ER-Golgi transport as part of the multimeric coat protein II complex. An orthologous gene in frogs is required for normal neural crest cell development, suggesting that this gene may play a role in Waardenburg syndrome neural crest defects. Alternatively spliced transcript variants have been observed for this gene.
Purification Method
Affinity purification
Gene ID
11196
RRID
AB_2762305
Buffer Information
Store at -20℃. Avoid freeze / thaw cycles. Buffer: PBS with 0.01% thimerosal,50% glycerol,pH7.3.
Western blot analysis of various lysates using SEC23IP Rabbit pAb (CAB15398) at 1:1000 dilution. Secondary antibody: HRP-conjugated Goat anti-Rabbit IgG (H+L) (CABS014) at 1:10000 dilution. Lysates/proteins: 25μg per lane. Blocking buffer: 3% nonfat dry milk in TBST. Detection: ECL Basic Kit (AbGn00020). Exposure time: 3s.
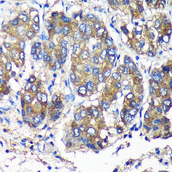
Immunohistochemistry analysis of paraffin-embedded Human liver cancer using SEC23IP Rabbit pAb (CAB15398) at dilution of 1:100 (40x lens). Microwave antigen retrieval performed with 0.01M PBS Buffer (pH 7.2) prior to IHC staining.
Immunofluorescence analysis of HeLa cells using SEC23IP Rabbit pAb (CAB15398) at dilution of 1:100. Secondary antibody: Cy3-conjugated Goat anti-Rabbit IgG (H+L) (CABS007) at 1:500 dilution. Blue: DAPI for nuclear staining.
Immunofluorescence analysis of L929 cells using SEC23IP Rabbit pAb (CAB15398) at dilution of 1:100. Secondary antibody: Cy3-conjugated Goat anti-Rabbit IgG (H+L) (CABS007) at 1:500 dilution. Blue: DAPI for nuclear staining.