The SECISBP2 Antibody (CAB6736) is a high-quality antibody developed for reliable detection and analysis of target proteins. The protein encoded by this gene is one of the essential components of the machinery involved in co-translational insertion of selenocysteine (Sec) into selenoproteins. Sec is encoded by the UGA codon, which normally signals translation termination. The recoding of UGA as Sec codon requires a Sec insertion sequence (SECIS) element; present in the 3' untranslated regions of eukaryotic selenoprotein mRNAs. This protein specifically binds to the SECIS element, which is stimulated by a Sec-specific translation elongation factor. Mutations in this gene have been associated with reduction in enzymatic activity of type II iodothyronine deiodinase (a selenoprotein) and abnormal thyroid hormone metabolism. Alternatively spliced transcript variants have been found for this gene. RRID AB_2767320 Gene ID 79048 Swiss Prot Synonym SBP2; THMA1; SECISBP2
This antibody is validated for use in WB, IHC-P, IF/ICC, ELISA applications and has demonstrated reactivity against Human, Mouse, Rat samples.
Product Name:
SECISBP2 Antibody
SKU:
CAB6736
Size:
100μL, 20μL
Reactivity:
Human, Mouse, Rat
Clone Number:
-
Conjugate:
Unconjugated
Immunogen:
Recombinant protein (or fragment).This information is considered to be commercially sensitive.
Tested Applications:
WBIHC-PIF/ICCELISA
Recommended Dilution:
WB
1:100 - 1:500
IHC-P
1:50 - 1:200
IF
/
ICC
1:50 - 1:200
ELISA
Recommended starting concentration is 1 μg/mL. Please optimize the concentration based on your specific assay requirements.
Synonyms:
SBP2, THMA1, SECISBP2
Positive Sample:
HeLa, Mouse testis, Mouse thymus, Rat testis
Cellular Localization:
Mitochondrion, Nucleus.
Calculated MW:
95kDa
Observed MW:
110kDa
The protein encoded by this gene is one of the essential components of the machinery involved in co-translational insertion of selenocysteine (Sec) into selenoproteins. Sec is encoded by the UGA codon, which normally signals translation termination. The recoding of UGA as Sec codon requires a Sec insertion sequence (SECIS) element; present in the 3' untranslated regions of eukaryotic selenoprotein mRNAs. This protein specifically binds to the SECIS element, which is stimulated by a Sec-specific translation elongation factor. Mutations in this gene have been associated with reduction in enzymatic activity of type II iodothyronine deiodinase (a selenoprotein) and abnormal thyroid hormone metabolism. Alternatively spliced transcript variants have been found for this gene. RRID AB_2767320 Gene ID 79048 Swiss Prot Synonym SBP2; THMA1; SECISBP2
Purification Method:
Affinity purification
Gene ID:
79048
RRID:
AB_2767320
Buffer Information:
Store at -20℃. Avoid freeze / thaw cycles. Buffer: PBS containing 50% glycerol, preserved with proclin300 or sodium azide, pH 7.3.
Western blot analysis of various lysates using SECISBP2 Rabbit pAb (CAB6736) at 1:500 dilution. Secondary antibody: HRP-conjugated Goat anti-Rabbit IgG (H+L) (AS014) at 1:10000 dilution. Lysates/proteins: 25μg per lane. Blocking buffer: 3% nonfat dry milk in TBST. Detection: ECL Basic Kit (AbGn00020). Exposure time: 180s.
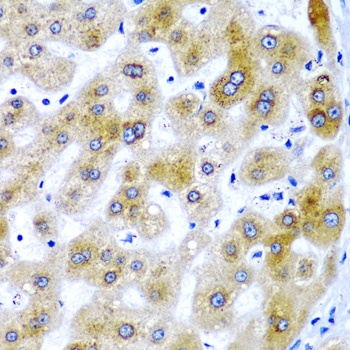
Immunohistochemistry analysis of paraffin-embedded Human liver damage using SECISBP2 Rabbit pAb (CAB6736) at dilution of 1:200 (40x lens). Microwave antigen retrieval performed with 0.01M PBS Buffer (pH 7.2) prior to IHC staining.
Immunofluorescence analysis of HeLa cells using SECISBP2 Rabbit pAb (CAB6736) at dilution of 1:50 (40x lens). Secondary antibody: Cy3-conjugated Goat anti-Rabbit IgG (H+L) (AS007) at 1:500 dilution. Blue: DAPI for nuclear staining.
Immunofluorescence analysis of NIH/3T3 cells using SECISBP2 Rabbit pAb (CAB6736) at dilution of 1:50 (40x lens). Secondary antibody: Cy3-conjugated Goat anti-Rabbit IgG (H+L) (AS007) at 1:500 dilution. Blue: DAPI for nuclear staining.