The Alpha-1 Antichymotrypsin (SERPINA3) Antibody (CAB2803) is a high-quality antibody developed for reliable detection and analysis of target proteins. This antibody, produced in rabbits, demonstrates high reactivity with human samples and is validated for use in Western blot applications. By specifically binding to the Serpina3 protein, researchers can accurately detect and analyze its expression in a variety of cell types, making it an essential component for studies in immunology, cancer research, and beyond.
This antibody is validated for use in WB, IHC-P, ELISA applications and has demonstrated reactivity against Human samples.
Product Name:
Alpha-1 Antichymotrypsin (SERPINA3) Antibody
SKU:
CAB2803
Size:
20μL, 100μL
Reactivity:
Human
Conjugate:
Unconjugated
Immunogen:
Synthetic peptide. This information is considered to be commercially sensitive.
The protein encoded by this gene is a member of the serpin family of proteins, a group of proteins that inhibit serine proteases. This gene is one in a cluster of serpin genes located on the q arm of chromosome 14. Polymorphisms in this protein appear to be tissue specific and influence protease targeting. Variations in this protein's sequence have been implicated in Alzheimer's disease, and deficiency of this protein has been associated with liver disease. Mutations have been identified in patients with Parkinson disease and chronic obstructive pulmonary disease.
Purification Method
Affinity purification
Gene ID
12
RRID
AB_2764641
Buffer Information
Store at -20℃. Avoid freeze / thaw cycles. Buffer: PBS containing 50% glycerol, preserved with proclin300 or sodium azide, pH 7.3.
Western blot analysis of lysates from Human plasma, using Alpha-1 Antichymotrypsin (SERPINA3) Rabbit pAb (CAB2803) at 1:1000 dilution. Secondary antibody: HRP-conjugated Goat anti-Rabbit IgG (H+L) (CABS014) at 1:10000 dilution. Lysates/proteins: 25μg per lane. Blocking buffer: 3% nonfat dry milk in TBST. Detection: ECL Basic Kit (AbGn00020). Exposure time: 10s.
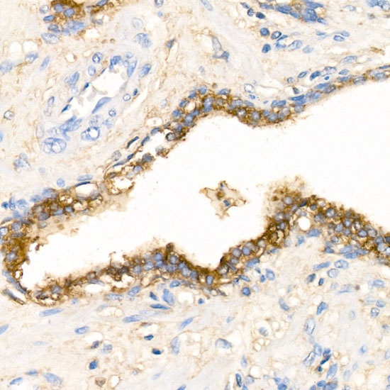
Immunohistochemistry analysis of paraffin-embedded Human prostate cancer using Alpha-1 Antichymotrypsin (SERPINA3) Rabbit pAb (CAB2803) at dilution of 1:300 (40x lens). High pressure antigen retrieval performed with 0.01M Citrate buffer (pH 6.0) prior to IHC staining.