The SRSF1/SF2/ASF Monoclonal Antibody (CAB4091) is a high-quality antibody developed for reliable detection and analysis of target proteins. This antibody, generated from rabbit monoclonal cells, is highly specific and reactive with human samples, making it ideal for Western blot applications.SF2/ASF, also known as splicing factor 2/alternative splicing factor, plays a key role in determining the outcome of alternative splicing events, leading to the production of diverse protein isoforms from a single gene. Dysregulation of alternative splicing is associated with various diseases, including cancer and neurological disorders, making SF2/ASF a target of interest in molecular and cellular biology research.
This antibody is validated for use in WB, IHC-P, ELISA applications and has demonstrated reactivity against Human, Mouse, Rat samples.
Product Name:
SRSF1/SF2/ASF Monoclonal Antibody
SKU:
CAB4091
Size:
20μL, 100μL
Reactivity:
Human, Mouse, Rat
Clone Number:
ARC51453
Conjugate:
Unconjugated
Immunogen:
Synthetic peptide. This information is considered to be commercially sensitive.
Recommended starting concentration is 1 μg/mL. Please optimize the concentration based on your specific assay requirements.
Synonyms:
ASF, SF2, SFRS1, SF2p33, SRp30a, SRSF1/SF2/ASF
Positive Sample:
HeLa, Hep G2, MCF7, SH-SY5Y, Mouse thymus
Cellular Localization:
Cytoplasm, Nucleus Speckle.
Calculated MW:
28kDa
Observed MW:
33kDa
This gene encodes a member of the arginine/serine-rich splicing factor protein family. The encoded protein can either activate or repress splicing, depending on its phosphorylation state and its interaction partners. Multiple transcript variants have been found for this gene. There is a pseudogene of this gene on chromosome 13.
Purification Method
Affinity purification
Gene ID
6426
RRID
AB_2863186
Buffer Information
Store at -20℃. Avoid freeze / thaw cycles. Buffer: PBS containing 50% glycerol and 0.05% BSA, preserved with proclin300 or sodium azide, pH 7.3.
Western blot analysis of various lysates, using SRSF1/SF2/ASF Rabbit mAb (CAB4091) at 1:3000 dilution. Secondary antibody: HRP-conjugated Goat anti-Rabbit IgG (H+L) (CABS014) at 1:10000 dilution. Lysates/proteins: 25μg per lane. Blocking buffer: 3% nonfat dry milk in TBST. Detection: ECL Basic Kit (AbGn00020). Exposure time: 10s.
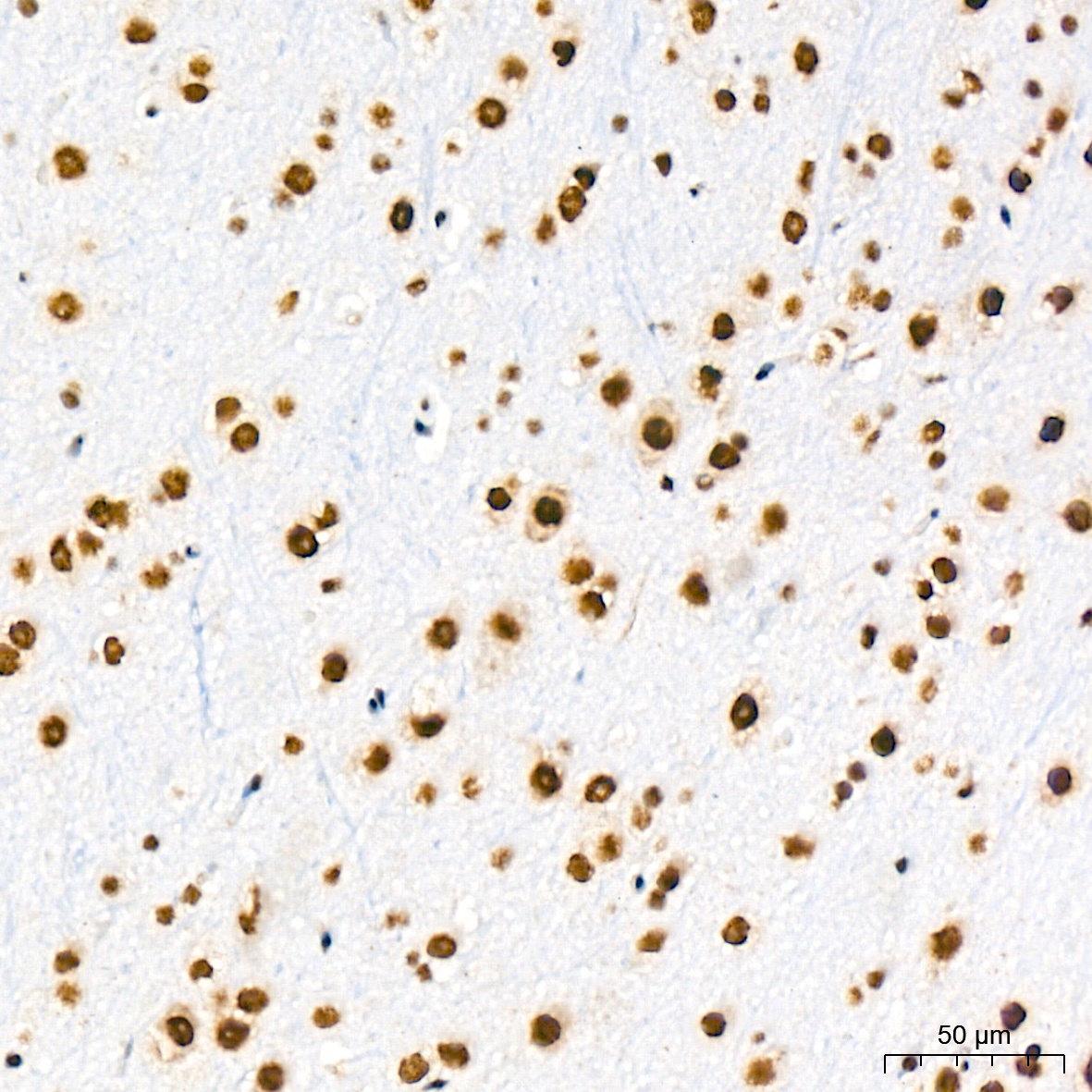
Immunohistochemistry analysis of paraffin-embedded Mouse brain tissue using SRSF1/SF2/ASF Rabbit mAb (CAB4091) at a dilution of 1:1000 (40x lens). High pressure antigen retrieval was performed with 0.01 M citrate buffer (pH 6.0) prior to IHC staining.
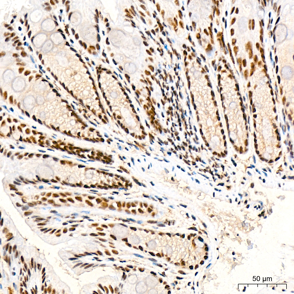
Immunohistochemistry analysis of paraffin-embedded Mouse colon tissue using SRSF1/SF2/ASF Rabbit mAb (CAB4091) at a dilution of 1:1000 (40x lens). High pressure antigen retrieval was performed with 0.01 M citrate buffer (pH 6.0) prior to IHC staining.
Immunohistochemistry analysis of paraffin-embedded Mouse testis tissue using SRSF1/SF2/ASF Rabbit mAb (CAB4091) at a dilution of 1:1000 (40x lens). High pressure antigen retrieval was performed with 0.01 M citrate buffer (pH 6.0) prior to IHC staining.