The SIK2 Antibody (CAB8321) is a high-quality antibody developed for reliable detection and analysis of target proteins. Sik2, also known as Salt-Inducible Kinase 2, is a key regulator of cellular metabolism and energy balance. This antibody, produced in rabbits, offers high specificity and sensitivity for detecting Sik2 in human samples, making it an ideal choice for Western blot applications.Sik2 plays a crucial role in various cellular processes, including glucose and lipid metabolism, making it a target of interest in metabolic disorders such as diabetes and obesity.
This antibody is validated for use in WB, ELISA applications and has demonstrated reactivity against Human, Mouse, Rat samples.
Product Name:
SIK2 Antibody
SKU:
CAB8321
Size:
20μL, 100μL
Reactivity:
Human, Mouse, Rat
Conjugate:
Unconjugated
Immunogen:
Recombinant protein (or fragment).This information is considered to be commercially sensitive.
Enables ATP binding activity; magnesium ion binding activity; and protein serine/threonine kinase activity. Involved in intracellular signal transduction and protein autophosphorylation. Predicted to be located in nucleus. Predicted to be active in cytoplasm.
Purification Method
Affinity purification
Gene ID
23235
RRID
AB_2772224
Buffer Information
Store at -20℃. Avoid freeze / thaw cycles. Buffer: PBS containing 50% glycerol, preserved with proclin300 or sodium azide, pH 7.3.
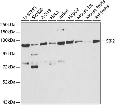
Western blot analysis of various lysates using SIK2 Rabbit pAb (CAB8321) at 1:1000 dilution. Secondary antibody: HRP-conjugated Goat anti-Rabbit IgG (H+L) (CABS014) at 1:10000 dilution. Lysates/proteins: 25μg per lane. Blocking buffer: 3% nonfat dry milk in TBST. Detection: ECL Basic Kit (AbGn00020). Exposure time: 30s.