The SLC2A13 Antibody (CAB9993) is a high-quality antibody developed for reliable detection and analysis of target proteins. This antibody, generated in rabbits, exhibits high reactivity with human samples and has been validated for use in Western blot applications. By binding specifically to the SLC2A13 protein, this antibody enables precise detection and analysis in a variety of cell types, making it an essential reagent for studies in metabolic research and related fields.SLC2A13, also known as glucose transporter 13, plays a crucial role in glucose metabolism and homeostasis, contributing to the regulation of blood sugar levels and energy production within cells.
This antibody is validated for use in WB, ELISA applications and has demonstrated reactivity against Human, Mouse, Rat samples.
Product Name:
SLC2A13 Antibody
SKU:
CAB9993
Size:
20μL, 100μL
Reactivity:
Human, Mouse, Rat
Conjugate:
Unconjugated
Immunogen:
Recombinant protein (or fragment).This information is considered to be commercially sensitive.
Enables ATPase binding activity; myo-inositol:proton symporter activity; and protease binding activity. Involved in myo-inositol transport and positive regulation of amyloid-beta formation. Is integral component of plasma membrane. Part of cell body; cell periphery; and cell projection.
Purification Method
Affinity purification
Gene ID
114134
RRID
AB_2772264
Buffer Information
Store at -20℃. Avoid freeze / thaw cycles. Buffer: PBS containing 50% glycerol, preserved with proclin300 or sodium azide, pH 7.3.
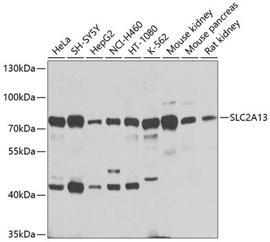
Western blot analysis of various lysates using SLC2A13 Rabbit pAb (CAB9993) at 1:1000 dilution. Secondary antibody: HRP-conjugated Goat anti-Rabbit IgG (H+L) (CABS014) at 1:10000 dilution. Lysates/proteins: 25μg per lane. Blocking buffer: 3% nonfat dry milk in TBST. Detection: ECL Basic Kit (AbGn00020). Exposure time: 1s.