The SLC4A5 Antibody (CAB10436) is a high-quality antibody developed for reliable detection and analysis of target proteins. This antibody, generated in rabbits, exhibits high specificity and sensitivity towards human samples, making it ideal for Western blot applications. By binding specifically to the SLC4A5 protein, this antibody enables the detection and analysis of SLC4A5 in various cell types, providing insights into its function in kidney physiology and potential implications in renal diseases.SLC4A5, also known as the electrogenic sodium bicarbonate cotransporter 1 (NBCe1), plays a crucial role in maintaining acid-base balance in the body by regulating the transport of sodium and bicarbonate ions across cell membranes.
This antibody is validated for use in WB, IHC-P, ELISA applications and has demonstrated reactivity against Human, Mouse, Rat samples.
Product Name:
SLC4A5 Antibody
SKU:
CAB10436
Size:
20μL, 100μL
Reactivity:
Human, Mouse, Rat
Conjugate:
Unconjugated
Immunogen:
Recombinant protein (or fragment).This information is considered to be commercially sensitive.
This gene encodes a member of the sodium bicarbonate cotransporter (NBC) family, part of the bicarbonate transporter superfamily. Sodium bicarbonate cotransporters are involved in intracellular pH regulation and electroneural or electrogenic sodium bicarbonate transport. This protein is thought to be an integral membrane protein. Multiple transcript variants encoding different isoforms have been found for this gene, but the biological validity of some variants has not been determined.
Purification Method
Affinity purification
Gene ID
57835
RRID
AB_2757983
Buffer Information
Store at -20℃. Avoid freeze / thaw cycles. Buffer: PBS containing 50% glycerol, preserved with proclin300 or sodium azide, pH 7.3.
Western blot analysis of various lysates using SLC4A5 Rabbit pAb (CAB10436) at 1:1000 dilution. Secondary antibody: HRP-conjugated Goat anti-Rabbit IgG (H+L) (CABS014) at 1:10000 dilution. Lysates/proteins: 25μg per lane. Blocking buffer: 3% nonfat dry milk in TBST. Detection: ECL Basic Kit (AbGn00020). Exposure time: 15s.
Immunohistochemistry analysis of paraffin-embedded Rat liver using SLC4A5 Rabbit pAb (CAB10436) at dilution of 1:100 (40x lens). Microwave antigen retrieval performed with 0.01M PBS Buffer (pH 7.2) prior to IHC staining.
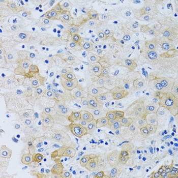
Immunohistochemistry analysis of paraffin-embedded Human liver using SLC4A5 Rabbit pAb (CAB10436) at dilution of 1:100 (40x lens). Microwave antigen retrieval performed with 0.01M PBS Buffer (pH 7.2) prior to IHC staining.