The SMYD3 Antibody (CAB14516) is a high-quality antibody developed for reliable detection and analysis of target proteins. This antibody, produced in rabbits, has high specificity for human samples and is validated for applications in Western blotting.SMYD3 has been linked to various malignancies, including breast, colorectal, and prostate cancer, making it a promising target for therapeutic interventions. By detecting and analyzing SMYD3 protein expression in different cell types, this antibody enables researchers to delve deeper into the mechanisms underlying cancer development and progression.
This antibody is validated for use in WB, IHC-P, IF/ICC, ELISA applications and has demonstrated reactivity against Human, Mouse, Rat samples.
Product Name:
SMYD3 Antibody
SKU:
CAB14516
Size:
20μL, 100μL
Reactivity:
Human, Mouse, Rat
Conjugate:
Unconjugated
Immunogen:
Synthetic peptide. This information is considered to be commercially sensitive.
Recommended starting concentration is 1 μg/mL. Please optimize the concentration based on your specific assay requirements.
Synonyms:
KMT3E, ZMYND1, ZNFN3A1, bA74P14.1, SMYD3
Positive Sample:
22Rv1, HT-29, HepG2, MCF7, HeLa, Mouse testis
Cellular Localization:
Cytoplasm, Nucleus.
Calculated MW:
49kDa
Observed MW:
49kDa
This gene encodes a histone methyltransferase which functions in RNA polymerase II complexes by an interaction with a specific RNA helicase. Multiple transcript variants encoding different isoforms have been found for this gene.
Purification Method
Affinity purification
Gene ID
64754
RRID
AB_2761391
Buffer Information
Store at -20℃. Avoid freeze / thaw cycles. Buffer: PBS with 0.01% thimerosal,50% glycerol,pH7.3.
Western blot analysis of various lysates using SMYD3 Rabbit pAb (CAB14516) at 1:3000 dilution. Secondary antibody: HRP-conjugated Goat anti-Rabbit IgG (H+L) (CABS014) at 1:10000 dilution. Lysates/proteins: 25μg per lane. Blocking buffer: 3% nonfat dry milk in TBST. Detection: ECL Basic Kit (AbGn00020). Exposure time: 90s.
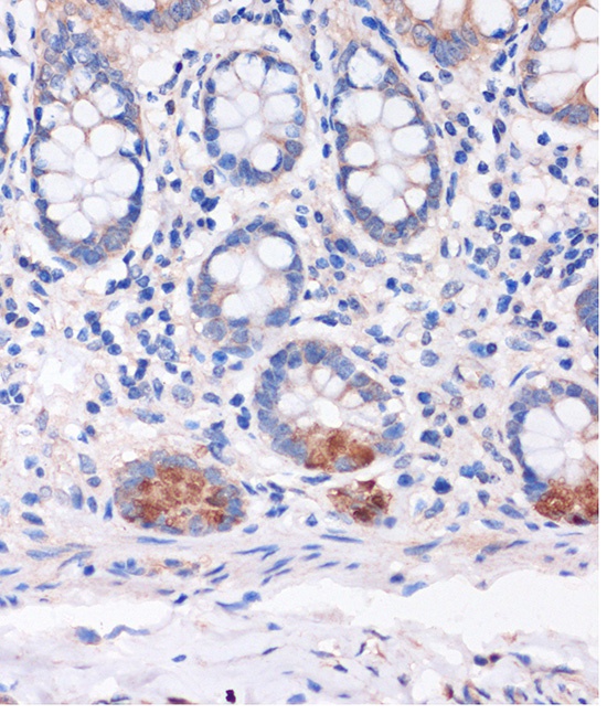
Immunohistochemistry analysis of paraffin-embedded Human colon using SMYD3 Rabbit pAb (CAB14516) at dilution of 1:100 (40x lens). Microwave antigen retrieval performed with 0.01M PBS Buffer (pH 7.2) prior to IHC staining.
Immunofluorescence analysis of HeLa cells using SMYD3 Rabbit pAb (CAB14516) at dilution of 1:100. Secondary antibody: Cy3-conjugated Goat anti-Rabbit IgG (H+L) (CABS007) at 1:500 dilution. Blue: DAPI for nuclear staining.
Immunofluorescence analysis of L929 cells using SMYD3 Rabbit pAb (CAB14516) at dilution of 1:100. Secondary antibody: Cy3-conjugated Goat anti-Rabbit IgG (H+L) (CABS007) at 1:500 dilution. Blue: DAPI for nuclear staining.