The SMYD4 Antibody (CAB7310) is a high-quality antibody developed for reliable detection and analysis of target proteins. This antibody, generated in rabbits, exhibits strong reactivity with human samples and is validated for use in Western blot applications.SMYD4 is a lysine methyltransferase that plays a critical role in regulating gene expression and chromatin structure. Dysregulation of SMYD4 has been linked to various cancers, making it a promising target for therapeutic intervention. The SMYD4 Polyclonal Antibody binds specifically to the SMYD4 protein, allowing for precise detection and analysis in a variety of cell types.
This antibody is validated for use in WB, IHC-P, IF/ICC, IP, ELISA applications and has demonstrated reactivity against Human, Mouse, Rat samples.
Product Name:
SMYD4 Antibody
SKU:
CAB7310
Size:
20μL, 100μL
Reactivity:
Human, Mouse, Rat
Conjugate:
Unconjugated
Immunogen:
Recombinant protein (or fragment).This information is considered to be commercially sensitive.
0.5μg-4μg antibody for 200μg-400μg extracts of whole cells
ELISA
Recommended starting concentration is 1 μg/mL. Please optimize the concentration based on your specific assay requirements.
Synonyms:
ZMYND21, SMYD4
Positive Sample:
HeLa
Cellular Localization:
Cytoplasm, Nucleus.
Calculated MW:
89kDa
Observed MW:
89kDa
Predicted to enable metal ion binding activity and methyltransferase activity. Involved in heart development. Predicted to be located in cytoplasm and nucleus.
Purification Method
Affinity purification
Gene ID
114826
RRID
AB_2767850
Buffer Information
Store at -20℃. Avoid freeze / thaw cycles. Buffer: PBS containing 50% glycerol, preserved with proclin300 or sodium azide, pH 7.3.
Western blot analysis of lysates from HeLa cells, using SMYD4 Rabbit pAb (CAB7310) at 1:2000 dilution. Secondary antibody: HRP-conjugated Goat anti-Rabbit IgG (H+L) (CABS014) at 1:10000 dilution. Lysates/proteins: 25μg per lane. Blocking buffer: 3% nonfat dry milk in TBST. Detection: ECL Basic Kit (AbGn00020). Exposure time: 60s.
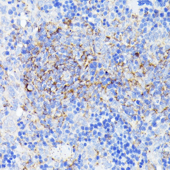
Immunohistochemistry analysis of paraffin-embedded Rat spleen using SMYD4 Rabbit pAb (CAB7310) at dilution of 1:100 (40x lens). Microwave antigen retrieval performed with 0.01M PBS Buffer (pH 7.2) prior to IHC staining.
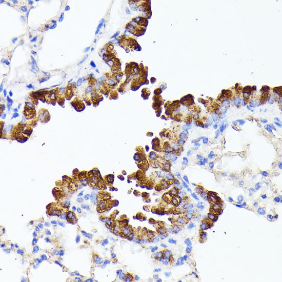
Immunohistochemistry analysis of paraffin-embedded Mouse lung using SMYD4 Rabbit pAb (CAB7310) at dilution of 1:100 (40x lens). Microwave antigen retrieval performed with 0.01M PBS Buffer (pH 7.2) prior to IHC staining.
Immunofluorescence analysis of A-549 cells using SMYD4 Rabbit pAb (CAB7310). Secondary antibody: Cy3-conjugated Goat anti-Rabbit IgG (H+L) (CABS007) at 1:500 dilution. Blue: DAPI for nuclear staining.