The SOD3 Antibody (CAB6984) is a high-quality antibody developed for reliable detection and analysis of target proteins. This gene encodes a member of the superoxide dismutase (SOD) protein family. SODs are antioxidant enzymes that catalyze the conversion of superoxide radicals into hydrogen peroxide and oxygen, which may protect the brain, lungs, and other tissues from oxidative stress. Proteolytic processing of the encoded protein results in the formation of two distinct homotetramers that differ in their ability to interact with the extracellular matrix (ECM). Homotetramers consisting of the intact protein, or type C subunit, exhibit high affinity for heparin and are anchored to the ECM. Homotetramers consisting of a proteolytically cleaved form of the protein, or type A subunit, exhibit low affinity for heparin and do not interact with the ECM. A mutation in this gene may be associated with increased heart disease risk. RRID AB_2767540 Gene ID 6649 Swiss Prot Synonym EC-SOD; SOD3
This antibody is validated for use in WB, IHC-P, IF/ICC, ELISA applications and has demonstrated reactivity against Human, Mouse, Rat samples.
Product Name:
SOD3 Antibody
SKU:
CAB6984
Size:
100μL, 20μL
Reactivity:
Human, Mouse, Rat
Clone Number:
-
Conjugate:
Unconjugated
Immunogen:
Synthetic peptide. This information is considered to be commercially sensitive.
Tested Applications:
WBIHC-PIF/ICCELISA
Recommended Dilution:
WB
1:500 - 1:2000
IHC-P
1:50 - 1:200
IF
/
ICC
1:50 - 1:200
ELISA
Recommended starting concentration is 1 μg/mL. Please optimize the concentration based on your specific assay requirements.
Synonyms:
EC-SOD, SOD3
Positive Sample:
22Rv1, HL-60, Mouse kidney, Mouse lung
Cellular Localization:
Secreted, Extracellular Space.
Calculated MW:
26kDa
Observed MW:
35kDa
This gene encodes a member of the superoxide dismutase (SOD) protein family. SODs are antioxidant enzymes that catalyze the conversion of superoxide radicals into hydrogen peroxide and oxygen, which may protect the brain, lungs, and other tissues from oxidative stress. Proteolytic processing of the encoded protein results in the formation of two distinct homotetramers that differ in their ability to interact with the extracellular matrix (ECM). Homotetramers consisting of the intact protein, or type C subunit, exhibit high affinity for heparin and are anchored to the ECM. Homotetramers consisting of a proteolytically cleaved form of the protein, or type A subunit, exhibit low affinity for heparin and do not interact with the ECM. A mutation in this gene may be associated with increased heart disease risk. RRID AB_2767540 Gene ID 6649 Swiss Prot Synonym EC-SOD; SOD3
Purification Method:
Affinity purification
Gene ID:
6649
RRID:
AB_2767540
Buffer Information:
Store at -20℃. Avoid freeze / thaw cycles. Buffer: PBS containing 50% glycerol, preserved with proclin300 or sodium azide, pH 7.3.
Western blot analysis of various lysates using SOD3 Rabbit pAb (CAB6984) at 1:1000 dilution. Secondary antibody: HRP-conjugated Goat anti-Rabbit IgG (H+L) (AS014) at 1:10000 dilution. Lysates/proteins: 25μg per lane. Blocking buffer: 3% nonfat dry milk in TBST.
Western blot analysis of various lysates using SOD3 Rabbit pAb (CAB6984) at 1:3000 dilution. Secondary antibody: HRP-conjugated Goat anti-Rabbit IgG (H+L) (AS014) at 1:10000 dilution. Lysates/proteins: 25μg per lane. Blocking buffer: 3% nonfat dry milk in TBST. Detection: ECL Basic Kit (AbGn00020). Exposure time: 90s.
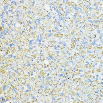
Immunohistochemistry analysis of paraffin-embedded Rat ovary using SOD3 Rabbit pAb (CAB6984) at dilution of 1:100 (40x lens). Microwave antigen retrieval performed with 0.01M PBS Buffer (pH 7.2) prior to IHC staining.
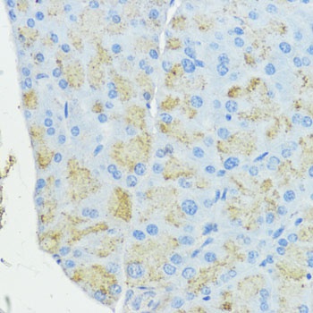
Immunohistochemistry analysis of paraffin-embedded Mouse pancreas using SOD3 Rabbit pAb (CAB6984) at dilution of 1:100 (40x lens). Microwave antigen retrieval performed with 0.01M PBS Buffer (pH 7.2) prior to IHC staining.