The SRI Antibody (CAB6751) is a high-quality antibody developed for reliable detection and analysis of target proteins. This antibody, produced in rabbits, exhibits high reactivity with human samples and has been validated for use in Western blot and immunohistochemistry applications.Sorcin, also known as Soluble Resistance-Related Calcium Binding Protein, is involved in regulating calcium homeostasis and has been implicated in drug resistance in cancer cells. Its expression has been linked to various cancer types, making it a promising target for cancer research and drug development.
This antibody is validated for use in WB, IHC-P, ELISA applications and has demonstrated reactivity against Human, Mouse, Rat samples.
Product Name:
SRI Antibody
SKU:
CAB6751
Size:
20μL, 100μL
Reactivity:
Human, Mouse, Rat
Conjugate:
Unconjugated
Immunogen:
Recombinant protein (or fragment).This information is considered to be commercially sensitive.
This gene encodes a calcium-binding protein with multiple E-F hand domains that relocates from the cytoplasm to the sarcoplasmic reticulum in response to elevated calcium levels. In addition to regulating intracellular calcium homeostasis it also modulates excitation-contraction coupling in the heart. Alternative splicing results in multiple transcript variants encoding distinct proteins. Multiple pseudogenes exist for this gene.
Purification Method
Affinity purification
Gene ID
6717
RRID
AB_2767335
Buffer Information
Store at -20℃. Avoid freeze / thaw cycles. Buffer: PBS containing 50% glycerol, preserved with proclin300 or sodium azide, pH 7.3.
Western blot analysis of lysates from wild type(WT) and SRI knockout (KO) HeLa(KO) cells, using [KO Validated] SRI Rabbit pAb (CAB6751) at 1:1000 dilution. Secondary antibody: HRP-conjugated Goat anti-Rabbit IgG (H+L) (CABS014) at 1:10000 dilution. Lysates/proteins: 25μg per lane. Blocking buffer: 3% nonfat dry milk in TBST. Detection: ECL Basic Kit (AbGn00020). Exposure time: 1s.
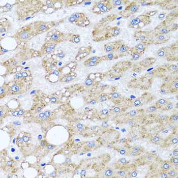
Immunohistochemistry analysis of paraffin-embedded Human liver damage using [KO Validated] SRI Rabbit pAb (CAB6751) at dilution of 1:100 (40x lens). Microwave antigen retrieval performed with 0.01M PBS Buffer (pH 7.2) prior to IHC staining.
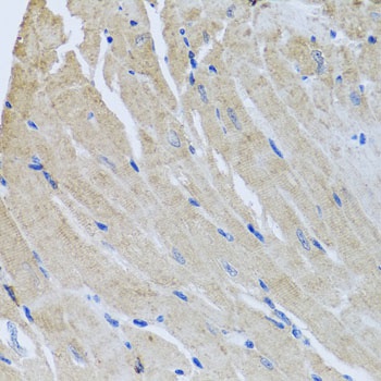
Immunohistochemistry analysis of paraffin-embedded Mouse heart using [KO Validated] SRI Rabbit pAb (CAB6751) at dilution of 1:100 (40x lens). Microwave antigen retrieval performed with 0.01M PBS Buffer (pH 7.2) prior to IHC staining.