The SORD Antibody (CAB2118) is a high-quality antibody developed for reliable detection and analysis of target proteins. This antibody, produced in rabbits, is highly specific for human samples and has been validated for use in Western blot applications. By targeting the SORD protein, this antibody allows for the detection and analysis of SORD levels in various cell types, making it ideal for studies in biochemistry and metabolic research.SORD, also known as sorbitol dehydrogenase, plays a crucial role in the breakdown of sorbitol and other sugar alcohols in the body. Dysregulation of SORD activity has been linked to conditions such as diabetes, diabetic complications, and metabolic disorders.
This antibody is validated for use in WB, IHC-P, IF/ICC, ELISA applications and has demonstrated reactivity against Human, Mouse, Rat samples.
Product Name:
SORD Antibody
SKU:
CAB2118
Size:
20μL, 100μL
Reactivity:
Human, Mouse, Rat
Conjugate:
Unconjugated
Immunogen:
Recombinant protein (or fragment).This information is considered to be commercially sensitive.
Sorbitol dehydrogenase (SORD; EC 1.1.1.14) catalyzes the interconversion of polyols and their corresponding ketoses, and together with aldose reductase (ALDR1; MIM 103880), makes up the sorbitol pathway that is believed to play an important role in the development of diabetic complications (summarized by Carr and Markham, 1995 [PubMed 8535074]). The first reaction of the pathway (also called the polyol pathway) is the reduction of glucose to sorbitol by ALDR1 with NADPH as the cofactor. SORD then oxidizes the sorbitol to fructose using NAD(+) cofactor.
Purification Method
Affinity purification
Gene ID
6652
RRID
AB_2764137
Buffer Information
Store at -20℃. Avoid freeze / thaw cycles. Buffer: PBS containing 50% glycerol, preserved with proclin300 or sodium azide, pH 7.3.
Western blot analysis of various lysates using Sorbitol Dehydrogenase Rabbit pAb (CAB2118) at 1:1000 dilution. Secondary antibody: HRP-conjugated Goat anti-Rabbit IgG (H+L) (CABS014) at 1:10000 dilution. Lysates/proteins: 25μg per lane. Blocking buffer: 3% nonfat dry milk in TBST. Detection: ECL Basic Kit (AbGn00020). Exposure time: 60s.
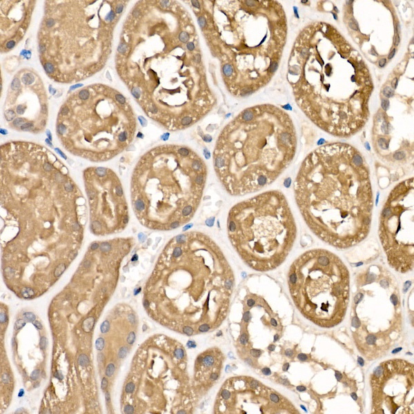
Immunohistochemistry analysis of paraffin-embedded Human kidney using Sorbitol Dehydrogenase Rabbit pAb (CAB2118) at dilution of 1:100 (40x lens). High pressure antigen retrieval performed with 0.01M Citrate buffer (pH 6.0) prior to IHC staining.
Immunofluorescence analysis of NIH/3T3 cells using Sorbitol Dehydrogenase Rabbit pAb (CAB2118) at dilution of 1:50 (40x lens). Secondary antibody: Cy3-conjugated Goat anti-Rabbit IgG (H+L) (CABS007) at 1:500 dilution. Blue: DAPI for nuclear staining.