The SP100 Antibody (CAB5851) is a high-quality antibody developed for reliable detection and analysis of target proteins. Raised in rabbits, this antibody is highly reactive with human samples and validated for use in various applications, including Western blotting and immunofluorescence.SP100 is a nuclear antigen that plays a crucial role in regulating gene expression, DNA repair, and cellular processes. Its involvement in nuclear body formation also suggests a role in nuclear organization and function. This antibody binds specifically to the SP100 protein, allowing for detection and analysis in different cell types, making it a valuable tool for studies in molecular biology, epigenetics, and cell biology.
This antibody is validated for use in WB, ELISA applications and has demonstrated reactivity against Human, Mouse samples.
Product Name:
SP100 Antibody
SKU:
CAB5851
Size:
20μL, 100μL
Reactivity:
Human, Mouse
Conjugate:
Unconjugated
Immunogen:
Recombinant protein (or fragment).This information is considered to be commercially sensitive.
This gene encodes a subnuclear organelle and major component of the PML (promyelocytic leukemia)-SP100 nuclear bodies. PML and SP100 are covalently modified by the SUMO-1 modifier, which is considered crucial to nuclear body interactions. The encoded protein binds heterochromatin proteins and is thought to play a role in tumorigenesis, immunity, and gene regulation. Alternatively spliced variants have been identified for this gene; one of which encodes a high-mobility group protein.
Purification Method
Affinity purification
Gene ID
6672
RRID
AB_2766601
Buffer Information
Store at -20℃. Avoid freeze / thaw cycles. Buffer: PBS containing 50% glycerol, preserved with proclin300 or sodium azide, pH 7.3.
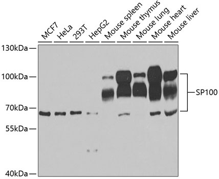
Western blot analysis of various lysates using SP100 Rabbit pAb (CAB5851) at 1:1000 dilution._Secondary antibody: HRP-conjugated Goat anti-Rabbit IgG (H+L) (CABS014) at 1:10000 dilution._Lysates/proteins: 25μg per lane._Blocking buffer: 3% nonfat dry milk in TBST._Detection: ECL Enhanced Kit (AbGn00021)._Exposure time: 30s.