The SSRP1 Antibody (CAB6413) is a high-quality antibody developed for reliable detection and analysis of target proteins. This antibody, produced in rabbits, is highly specific and reactive for human samples, making it ideal for use in Western blot applications. By binding to the SSRP1 protein, this antibody enables accurate detection and analysis in a variety of cell types, offering valuable insights for studies in genetics, cancer biology, and epigenetics.SSRP1, also known as structure-specific recognition protein 1, plays a crucial role in maintaining genome stability and regulating gene expression.
This antibody is validated for use in WB, IHC-P, IF/ICC, ELISA applications and has demonstrated reactivity against Human, Mouse samples.
Product Name:
SSRP1 Antibody
SKU:
CAB6413
Size:
20μL, 100μL
Reactivity:
Human, Mouse
Conjugate:
Unconjugated
Immunogen:
Recombinant protein (or fragment).This information is considered to be commercially sensitive.
Recommended starting concentration is 1 μg/mL. Please optimize the concentration based on your specific assay requirements.
Synonyms:
FACT, T160, FACT80, SSRP1
Positive Sample:
Mouse brain
Cellular Localization:
Chromosome, Nucleus, Nucleolus.
Calculated MW:
81kDa
Observed MW:
90kDa
The protein encoded by this gene is a subunit of a heterodimer that, along with SUPT16H, forms chromatin transcriptional elongation factor FACT. FACT interacts specifically with histones H2A/H2B to effect nucleosome disassembly and transcription elongation. FACT and cisplatin-damaged DNA may be crucial to the anticancer mechanism of cisplatin. This encoded protein contains a high mobility group box which most likely constitutes the structure recognition element for cisplatin-modified DNA. This protein also functions as a co-activator of the transcriptional activator p63. An alternatively spliced transcript variant of this gene has been described, but its full-length nature is not known.
Purification Method
Affinity purification
Gene ID
6749
RRID
AB_2767015
Buffer Information
Store at -20℃. Avoid freeze / thaw cycles. Buffer: PBS containing 50% glycerol, preserved with proclin300 or sodium azide, pH 7.3.
Western blot analysis of lysates from Mouse brain, using SSRP1 Rabbit pAb (CAB6413) at 1:500 dilution. Secondary antibody: HRP-conjugated Goat anti-Rabbit IgG (H+L) (CABS014) at 1:10000 dilution. Lysates/proteins: 25μg per lane. Blocking buffer: 3% nonfat dry milk in TBST. Detection: ECL Basic Kit (AbGn00020). Exposure time: 5s.
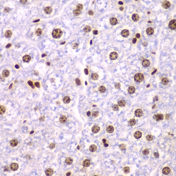
Immunohistochemistry analysis of paraffin-embedded Mouse liver using SSRP1 Rabbit pAb (CAB6413) at dilution of 1:200 (40x lens). Microwave antigen retrieval performed with 0.01M PBS Buffer (pH 7.2) prior to IHC staining.