The STK38L Polyclonal Antibody (CAB15406) is a valuable tool for researchers studying the serine/threonine kinase 38 like protein (STK38L). This antibody, produced in rabbits, is highly specific for human samples and has been validated for use in Western blot applications. By binding to the STK38L protein, this antibody allows for the detection and analysis of STK38L in various cell types.STK38L is a protein kinase involved in cell survival, proliferation, and apoptosis, making it a key player in cancer research and drug development.
Understanding the function and regulation of STK38L is essential for uncovering its role in cellular signaling pathways and identifying potential therapeutic targets for cancer treatment.With its high reactivity and specificity, the STK38L Polyclonal Antibody is an essential tool for researchers investigating the role of STK38L in cancer biology and other cellular processes. Its reliability and versatility make it a valuable asset for studies aiming to decipher the complex mechanisms underlying cancer development and progression.
Product Name:
STK38L Rabbit Polyclonal Antibody
SKU:
CAB15406
Size:
20uL, 100uL
Isotype:
IgG
Host Species:
Rabbit
Reactivity:
Human,Mouse,Rat
Immunogen:
Recombinant fusion protein containing a sequence corresponding to amino acids 165-464 of human STK38L (NP_055815.1).
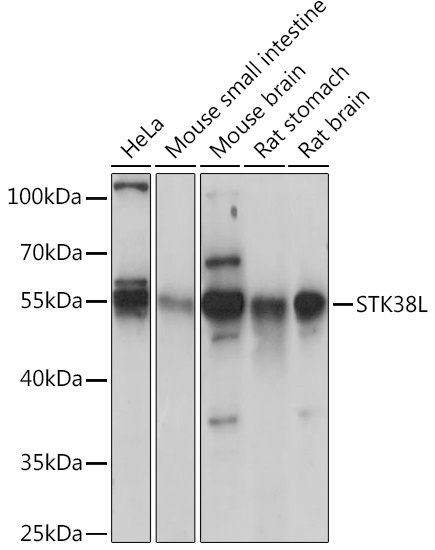
HeLa,Mouse small intestine,Mouse brain,Rat stomach,Rat brain
Conjugate:
Unconjugated
Cellular Localization:
Cytoplasm, Membrane, cytoskeleton.
Calculated MW:
54kDa
Observed MW:
54kDa
Enables ATP binding activity; magnesium ion binding activity; and protein serine/threonine kinase activity. Involved in intracellular signal transduction. Acts upstream of or within protein phosphorylation. Located in cytosol.
Purification Method:
Affinity purification
Gene ID:
23012
Storage Buffer:
Store at -20℃. Avoid freeze / thaw cycles.Buffer: PBS with 0.01% thimerosal,50% glycerol,pH7.3.
Western blot analysis of various lysates using STK38L Rabbit pAb (CAB15406) at 1:1000 dilution.Secondary antibody: HRP Goat Anti-Rabbit IgG (H+L) (CABS014) at 1:10000 dilution.Lysates/proteins: 25μg per lane.Blocking buffer: 3% nonfat dry milk in TBST.Detection: ECL Basic Kit (AbGn00020).Exposure time: 10s.