The STOML2 Antibody (CAB10398) is a high-quality antibody developed for reliable detection and analysis of target proteins. This antibody, produced in rabbits, exhibits high reactivity with human samples and is validated for use in Western blot applications. By specifically binding to the STOML2 protein, researchers can accurately detect and analyze its expression in various cell types, making it an excellent tool for studies in mitochondrial biology and cellular metabolism.STOML2 is known for its involvement in maintaining mitochondrial morphology and function, making it a key player in cellular energy production and metabolism.
This antibody is validated for use in WB, IHC-P, ELISA applications and has demonstrated reactivity against Human, Mouse, Rat samples.
Product Name:
STOML2 Antibody
SKU:
CAB10398
Size:
20μL, 100μL
Reactivity:
Human, Mouse, Rat
Conjugate:
Unconjugated
Immunogen:
Recombinant protein (or fragment).This information is considered to be commercially sensitive.
Enables GTPase binding activity and cardiolipin binding activity. Involved in several processes, including inorganic cation transmembrane transport; positive regulation of cardiolipin metabolic process; and positive regulation of mitochondrial DNA replication. Located in membrane raft; mitochondrial inner membrane; and mitochondrial intermembrane space. Is extrinsic component of plasma membrane. Colocalizes with several cellular components, including COP9 signalosome; T cell receptor complex; and immunological synapse.
Purification Method
Affinity purification
Gene ID
30968
RRID
AB_2757946
Buffer Information
Store at -20℃. Avoid freeze / thaw cycles. Buffer: PBS containing 50% glycerol, preserved with proclin300 or sodium azide, pH 7.3.
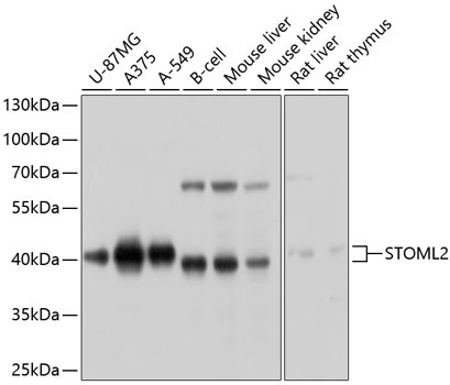
Western blot analysis of various lysates using STOML2 Rabbit pAb (CAB10398) at 1:1000 dilution. Secondary antibody: HRP-conjugated Goat anti-Rabbit IgG (H+L) (CABS014) at 1:10000 dilution. Lysates/proteins: 25μg per lane. Blocking buffer: 3% nonfat dry milk in TBST. Detection: ECL Basic Kit (AbGn00020). Exposure time: 10s.
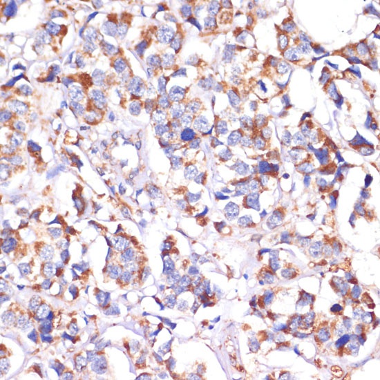
Immunohistochemistry analysis of paraffin-embedded Human breast cancer using STOML2 Rabbit pAb (CAB10398) at dilution of 1:100 (40x lens). Microwave antigen retrieval performed with 0.01M PBS Buffer (pH 7.2) prior to IHC staining.