The TCIRG1 Antibody (CAB15382) is a high-quality antibody developed for reliable detection and analysis of target proteins. This antibody, generated in rabbits, has high reactivity with human samples and has been validated for use in Western blot applications. By binding specifically to the TCIRG1 protein, this antibody allows for precise detection and analysis in various cell types, making it ideal for research in bone biology and related diseases.TCIRG1, also known as Osteoclast-specific proton pump subunit, is a key player in bone remodeling and maintaining bone density.
This antibody is validated for use in WB, IHC-P, IF/ICC, ELISA applications and has demonstrated reactivity against Human, Mouse, Rat samples.
Product Name:
TCIRG1 Antibody
SKU:
CAB15382
Size:
20μL, 100μL
Reactivity:
Human, Mouse, Rat
Conjugate:
Unconjugated
Immunogen:
Recombinant protein (or fragment).This information is considered to be commercially sensitive.
This gene encodes a subunit of a large protein complex known as a vacuolar H+-ATPase (V-ATPase). The protein complex acts as a pump to move protons across the membrane. This movement of protons helps regulate the pH of cells and their surrounding environment. V-ATPase dependent organelle acidification is necessary for such intracellular processes as protein sorting, zymogen activation, and receptor-mediated endocytosis. V-ATPase is comprised of a cytosolic V1 domain and a transmembrane V0 domain. Alternative splicing results in multiple transcript variants. Mutations in this gene are associated with infantile malignant osteopetrosis.
Purification Method
Affinity purification
Gene ID
10312
RRID
AB_2762288
Buffer Information
Store at -20℃. Avoid freeze / thaw cycles. Buffer: PBS with 0.09% sodium azide,50% glycerol,pH7.3.
Western blot analysis of lysates from Mouse spleen, using TCIRG1 Rabbit pAb (CAB15382) at 1:600 dilution. Secondary antibody: HRP-conjugated Goat anti-Rabbit IgG (H+L) (CABS014) at 1:10000 dilution. Lysates/proteins: 25μg per lane. Blocking buffer: 3% nonfat dry milk in TBST. Detection: ECL Basic Kit (AbGn00020). Exposure time: 20s.
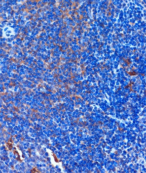
Immunohistochemistry analysis of paraffin-embedded Mouse spleen using TCIRG1 Rabbit pAb (CAB15382) at dilution of 1:100 (40x lens). Microwave antigen retrieval performed with 0.01M PBS Buffer (pH 7.2) prior to IHC staining.
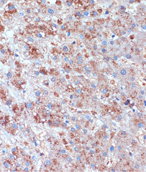
Immunohistochemistry analysis of paraffin-embedded Human liver using TCIRG1 Rabbit pAb (CAB15382) at dilution of 1:100 (40x lens). Microwave antigen retrieval performed with 0.01M PBS Buffer (pH 7.2) prior to IHC staining.
Immunofluorescence analysis of L929 cells using TCIRG1 Rabbit pAb (CAB15382) at dilution of 1:100 (40x lens). Secondary antibody: Cy3-conjugated Goat anti-Rabbit IgG (H+L) (CABS007) at 1:500 dilution. Blue: DAPI for nuclear staining.