The TEFM Antibody (CAB8511) is a high-quality antibody developed for reliable detection and analysis of target proteins. This antibody, generated in rabbits, exhibits high reactivity with human samples and has been validated for use in Western blot applications, enabling the detection and analysis of TEFM in various cell types.TEFM, also known as Transcription Elongation Factor M, is essential for the transcription of mitochondrial DNA and maintenance of mitochondrial function. Dysregulation of TEFM has been implicated in various diseases, including mitochondrial disorders and cancer.
This antibody is validated for use in WB, IHC-P, IF/ICC, ELISA applications and has demonstrated reactivity against Human, Mouse, Rat samples.
Product Name:
TEFM Antibody
SKU:
CAB8511
Size:
20μL, 100μL
Reactivity:
Human, Mouse, Rat
Conjugate:
Unconjugated
Immunogen:
Recombinant protein (or fragment).This information is considered to be commercially sensitive.
Recommended starting concentration is 1 μg/mL. Please optimize the concentration based on your specific assay requirements.
Synonyms:
C17orf42, TEFM
Positive Sample:
A549
Cellular Localization:
Mitochondrion Matrix, Mitochondrion Nucleoid.
Calculated MW:
42kDa
Observed MW:
50kDa
Enables DNA polymerase processivity factor activity. Involved in mitochondrial transcription and oxidative phosphorylation. Located in mitochondrial nucleoid. Part of ribonucleoprotein complex.
Purification Method
Affinity purification
Gene ID
79736
RRID
AB_2772558
Buffer Information
Store at -20℃. Avoid freeze / thaw cycles. Buffer: PBS containing 50% glycerol, preserved with proclin300 or sodium azide, pH 7.3.
Western blot analysis of lysates from A549 cells, using TEFM Rabbit pAb (CAB8511) at 1:2000 dilution. Secondary antibody: HRP-conjugated Goat anti-Rabbit IgG (H+L) (CABS014) at 1:10000 dilution. Lysates/proteins: 25μg per lane. Blocking buffer: 3% nonfat dry milk in TBST. Detection: ECL Basic Kit (AbGn00020). Exposure time: 20s.
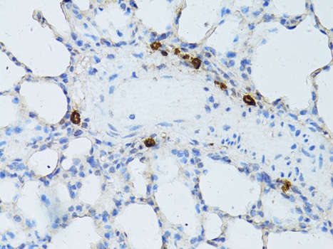
Immunohistochemistry analysis of paraffin-embedded Rat lung using TEFM Rabbit pAb (CAB8511) at dilution of 1:100 (40x lens). Microwave antigen retrieval performed with 0.01M PBS Buffer (pH 7.2) prior to IHC staining.
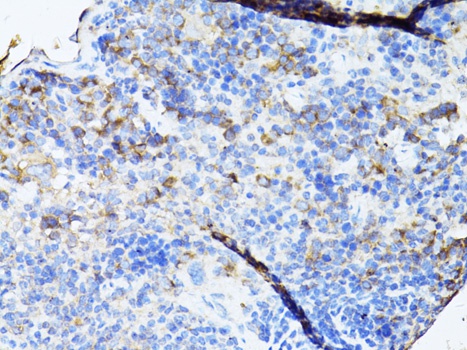
Immunohistochemistry analysis of paraffin-embedded Mouse spleen using TEFM Rabbit pAb (CAB8511) at dilution of 1:100 (40x lens). Microwave antigen retrieval performed with 0.01M PBS Buffer (pH 7.2) prior to IHC staining.
Confocal immunofluorescence analysis of U2OS cells using TEFM Rabbit pAb (CAB8511) at dilution of 1:100. Blue: DAPI for nuclear staining.