The TGM5 Antibody (CAB7039) is a high-quality antibody developed for reliable detection and analysis of target proteins. This antibody, raised in rabbits, exhibits high specificity and sensitivity towards human samples, making it an excellent choice for Western blot applications.TGM5 is a member of the transglutaminase enzyme family and is involved in the formation of cross-links between proteins, contributing to the structural integrity of tissues such as the skin and hair.
This antibody is validated for use in WB, IHC-P, ELISA applications and has demonstrated reactivity against Human, Mouse, Rat samples.
Product Name:
TGM5 Antibody
SKU:
CAB7039
Size:
20μL, 100μL
Reactivity:
Human, Mouse, Rat
Conjugate:
Unconjugated
Immunogen:
Recombinant protein (or fragment).This information is considered to be commercially sensitive.
This gene encodes a member of the transglutaminase family. The encoded protein catalyzes formation of protein cross-links between glutamine and lysine residues, often resulting in stabilization of protein assemblies. This reaction is calcium dependent. Mutations in this gene have been associated with acral peeling skin syndrome.
Purification Method
Affinity purification
Gene ID
9333
RRID
AB_2767594
Buffer Information
Store at -20℃. Avoid freeze / thaw cycles. Buffer: PBS containing 50% glycerol, preserved with proclin300 or sodium azide, pH 7.3.
Western blot analysis of lysates from wild type (WT) and 293T cells transfected with TGM5 using TGM5 Rabbit pAb (CAB7039) at 1:7000 dilution. Secondary antibody: HRP-conjugated Goat anti-Rabbit IgG (H+L) (CABS014) at 1:10000 dilution. Lysates/proteins: 25μg per lane. Blocking buffer: 3% nonfat dry milk in TBST. Detection: ECL Basic Kit (AbGn00020). Exposure time: 60s.
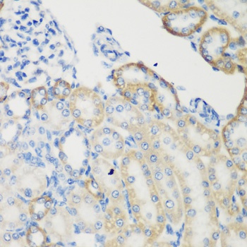
Immunohistochemistry analysis of paraffin-embedded Rat kidney using TGM5 Rabbit pAb (CAB7039) at dilution of 1:200 (40x lens). Microwave antigen retrieval performed with 0.01M PBS Buffer (pH 7.2) prior to IHC staining.
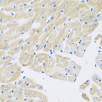
Immunohistochemistry analysis of paraffin-embedded Mouse heart using TGM5 Rabbit pAb (CAB7039) at dilution of 1:200 (40x lens). Microwave antigen retrieval performed with 0.01M PBS Buffer (pH 7.2) prior to IHC staining.