The TP53I11 Antibody (CAB12855) is a high-quality antibody developed for reliable detection and analysis of target proteins. This antibody, generated in rabbits, exhibits high reactivity with human samples and has been validated for use in Western blot applications. By binding specifically to TP53I11, this antibody enables precise detection and analysis of the protein in various cell types, making it a valuable asset for studies in molecular biology and cancer research.TP53I11, also known as tumor protein p53-induced protein 11, is a key player in the p53 signaling pathway, which is crucial for maintaining genomic stability and preventing tumor formation.
This antibody is validated for use in WB, IHC-P, ELISA applications and has demonstrated reactivity against Human, Mouse, Rat samples.
Product Name:
TP53I11 Antibody
SKU:
CAB12855
Size:
20μL, 100μL
Reactivity:
Human, Mouse, Rat
Conjugate:
Unconjugated
Immunogen:
Recombinant protein (or fragment).This information is considered to be commercially sensitive.
Sequence:
MAAK QPPP LMKK HSQT DLVS RLKT RKIL GVGG EDDD GEVH RSKI SQVL GNEI KFTI REPL GLRV WQFV SA
Tested Applications:
WBIHC-PELISA
Recommended Dilution:
WB
1:500 - 1:1000
IHC-P
1:50 - 1:100
ELISA
Recommended starting concentration is 1 μg/mL. Please optimize the concentration based on your specific assay requirements.
Synonyms:
PIG11, TP53I11
Positive Sample:
Mouse brain, Mouse heart
Cellular Localization:
Membrane, Multi-Pass Membrane Protein.
Calculated MW:
21kDa
Observed MW:
21kDa
Predicted to be involved in negative regulation of cell population proliferation. Predicted to be integral component of membrane.
Purification Method
Affinity purification
Gene ID
9537
RRID
AB_2759697
Buffer Information
Store at -20℃. Avoid freeze / thaw cycles. Buffer: PBS with 0.01% thimerosal,50% glycerol,pH7.3.
Western blot analysis of various lysates using TP53I11 Rabbit pAb (CAB12855) at 1:1000 dilution. Secondary antibody: HRP-conjugated Goat anti-Rabbit IgG (H+L) (CABS014) at 1:10000 dilution. Lysates/proteins: 25μg per lane. Blocking buffer: 3% nonfat dry milk in TBST. Detection: ECL Basic Kit (AbGn00020). Exposure time: 10s.
Immunohistochemistry analysis of paraffin-embedded Rat spleen using TP53I11 Rabbit pAb (CAB12855) at dilution of 1:100 (40x lens). Microwave antigen retrieval performed with 0.01M PBS Buffer (pH 7.2) prior to IHC staining.
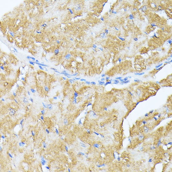
Immunohistochemistry analysis of paraffin-embedded Mouse heart using TP53I11 Rabbit pAb (CAB12855) at dilution of 1:100 (40x lens). Microwave antigen retrieval performed with 0.01M PBS Buffer (pH 7.2) prior to IHC staining.