TTC30A Antibody is a premium polyclonal that offers outstanding performance and reliability for demanding research applications. Rigorously validated for ELISA, WB, IHC, this antibody ensures consistent, reproducible results across multiple experimental platforms. Demonstrates excellent reactivity with Human, Mouse samples, providing researchers with confidence in cross-species compatibility. Conveniently packaged in 50ug format to meet your experimental needs. For optimal performance, store at -20°C or -80°C and maintains stability for 12 months. Backed by rigorous quality control testing to ensure superior performance in your critical research applications.
Product Name:
TTC30A Antibody (PACO37566)
SKU:
PACO37566
Size:
50μg
Isotype:
IgG
Host Species:
Rabbit
Reactivity:
Human, Mouse
Immunogen:
Recombinant Human Tetratricopeptide repeat protein 30A protein (201-500AA)
Immunogen Species:
Homo sapiens (Human)
Uniprot No:
Q86WT1
Form:
Liquid
Tested Applications:
ELISAWBIHC
Recommended Dilution:
WB 1:1000-1:5000, IHC 1:20-1:200
Synonyms:
TTC30ATetratricopeptide repeat protein 30A antibody, TPR repeat protein 30A antibody
Western blot All lanes: TTC30A antibody at 0.1µg/ml + Mouse gonadal tissue Secondary Goat polyclonal to rabbit IgG at 1/10000 dilution Predicted band size: 77 kDa Observed band size: 77 kDa
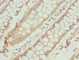
Immunohistochemistry of paraffin-embedded human colon cancer using PACO37566 at dilution of 1:100
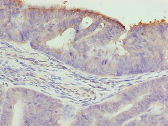
Immunohistochemistry of paraffin-embedded human endometrial cancer using PACO37566 at dilution of 1:100