TUBB4A Antibody is a premium polyclonal that offers outstanding performance and reliability for demanding research applications. Rigorously validated for ELISA, WB, IHC, IF, this antibody ensures consistent, reproducible results across multiple experimental platforms. Demonstrates excellent reactivity with Human, Mouse samples, providing researchers with confidence in cross-species compatibility. Conveniently packaged in 50ug format to meet your experimental needs. For optimal performance, store at -20°C or -80°C and maintains stability for 12 months. Backed by rigorous quality control testing to ensure superior performance in your critical research applications.
Product Name:
TUBB4A Antibody
SKU:
PACO46306
Size:
50μg
Isotype:
IgG
Host Species:
Rabbit
Reactivity:
Human, Mouse
Immunogen:
Recombinant Human Tubulin beta-4A chain protein (1-444AA)
Western blot All lanes: TUBB4A antibody at 2 µg/ml Lane 1: 293T whole cell lysate Lane 2: Hela whole cell lysate Secondary Goat polyclonal to rabbit IgG at 1/10000 dilution Predicted band size: 50 kDa Observed band size: 50, 58 kDa
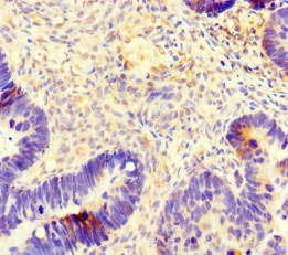
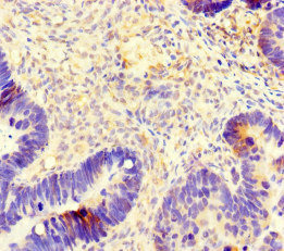
Immunohistochemistry of paraffin-embedded human ovarian cancer using PACO46306 at dilution of 1:100
Immunofluorescent analysis of MCF-7 cells using PACO46306 at dilution of 1:100 and Alexa Fluor 488-congugated AffiniPure Goat Anti-Rabbit IgG(H+L)
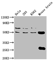
Western Blot Positive WB detected in: Hela whole cell lysate, 293 whole cell lysate, K562 whole cell lysate, Mouse brain tissue All lanes: TUBB4A antibody at 1:2000 Secondary Goat polyclonal to rabbit IgG at 1/50000 dilution Predicted band size: 50 kDa Observed band size: 50 kDa