The U2AF2/U2AF65 Monoclonal Antibody (CAB4552) is a high-quality antibody developed for reliable detection and analysis of target proteins. This antibody, developed specifically for use in human samples, is highly specific and sensitive, making it suitable for applications such as Western blot and immunohistochemistry.U2AF65 is a key player in the spliceosome complex, regulating alternative splicing and influencing gene expression. Dysregulation of U2AF65 has been implicated in various diseases, including cancer and neurological disorders.
This antibody is validated for use in WB, IHC-P, IP, ELISA applications and has demonstrated reactivity against Human, Mouse, Rat samples.
Product Name:
U2AF2/U2AF65 Monoclonal Antibody
SKU:
CAB4552
Size:
20μL, 100μL
Reactivity:
Human, Mouse, Rat
Clone Number:
ARC1029
Conjugate:
Unconjugated
Immunogen:
Synthetic peptide. This information is considered to be commercially sensitive.
0.5μg-4μg antibody for 200μg-400μg extracts of whole cells
ELISA
Recommended starting concentration is 1 μg/mL. Please optimize the concentration based on your specific assay requirements.
Synonyms:
U2AF65, U2AF2/U2AF65
Positive Sample:
HeLa, HT-29, Mouse lung, Mouse brain, Rat brain
Cellular Localization:
Nucleus.
Calculated MW:
54kDa
Observed MW:
65kDa
U2 auxiliary factor (U2AF), comprised of a large and a small subunit, is a non-snRNP protein required for the binding of U2 snRNP to the pre-mRNA branch site. This gene encodes the U2AF large subunit which contains a sequence-specific RNA-binding region with 3 RNA recognition motifs and an Arg/Ser-rich domain necessary for splicing. The large subunit binds to the polypyrimidine tract of introns early during spliceosome assembly. Multiple transcript variants have been detected for this gene, but the full-length natures of only two have been determined to date.
Purification Method
Affinity purification
Gene ID
11338
RRID
AB_2863293
Buffer Information
Store at -20℃. Avoid freeze / thaw cycles. Buffer: PBS containing 50% glycerol and 0.05% BSA, preserved with proclin300 or sodium azide, pH 7.3.
Western blot analysis of various lysates using U2AF2/U2AF2/U2AF65 Rabbit mAb (CAB4552) at 1:1000 dilution. Secondary antibody: HRP-conjugated Goat anti-Rabbit IgG (H+L) (CABS014) at 1:10000 dilution. Lysates/proteins: 25μg per lane. Blocking buffer: 3% nonfat dry milk in TBST. Detection: ECL Basic Kit (AbGn00020). Exposure time: 1s.
Western blot analysis of various lysates using U2AF2/U2AF2/U2AF65 Rabbit mAb (CAB4552) at 1:1000 dilution. Secondary antibody: HRP-conjugated Goat anti-Rabbit IgG (H+L) (CABS014) at 1:10000 dilution. Lysates/proteins: 25μg per lane. Blocking buffer: 3% nonfat dry milk in TBST. Detection: ECL Basic Kit (AbGn00020). Exposure time: 10s.
Immunohistochemistry analysis of paraffin-embedded Human colon carcinoma tissue using U2AF2/U2AF65 Rabbit mAb (CAB4552) at a dilution of 1:500 (40x lens). High pressure antigen retrieval performed with 0.01M Tris-EDTA Buffer (pH 9.0) prior to IHC staining.
Immunohistochemistry analysis of paraffin-embedded Human tonsil tissue using U2AF2/U2AF65 Rabbit mAb (CAB4552) at a dilution of 1:500 (40x lens). High pressure antigen retrieval performed with 0.01M Tris-EDTA Buffer (pH 9.0) prior to IHC staining.
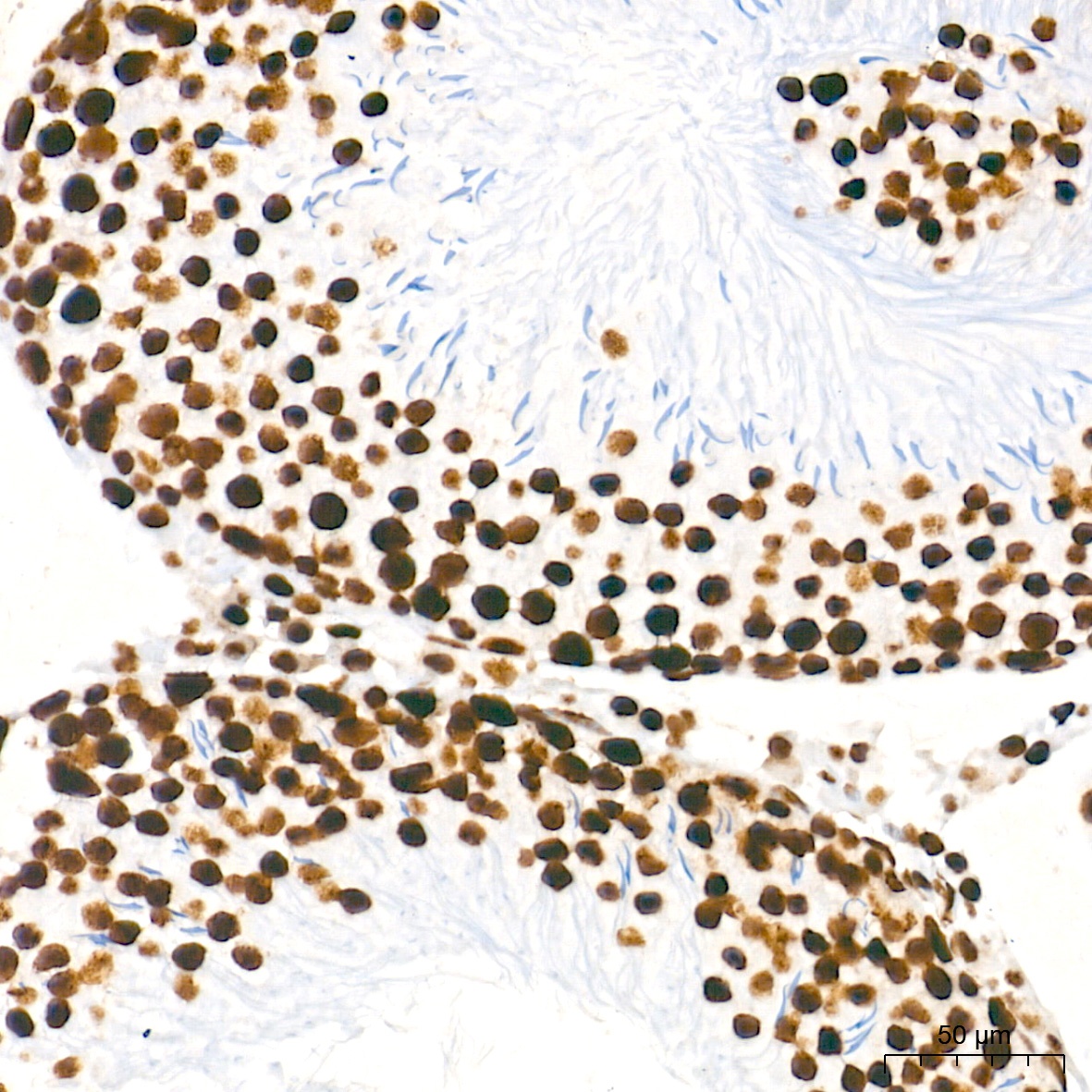
Immunohistochemistry analysis of paraffin-embedded Mouse testis tissue using U2AF2/U2AF65 Rabbit mAb (CAB4552) at a dilution of 1:500 (40x lens). High pressure antigen retrieval performed with 0.01M Tris-EDTA Buffer (pH 9.0) prior to IHC staining.
Immunohistochemistry analysis of paraffin-embedded Rat brain tissue using U2AF2/U2AF65 Rabbit mAb (CAB4552) at a dilution of 1:500 (40x lens). High pressure antigen retrieval performed with 0.01M Tris-EDTA Buffer (pH 9.0) prior to IHC staining.
Immunohistochemistry analysis of paraffin-embedded Rat heart tissue using U2AF2/U2AF65 Rabbit mAb (CAB4552) at a dilution of 1:500 (40x lens). High pressure antigen retrieval performed with 0.01M Tris-EDTA Buffer (pH 9.0) prior to IHC staining.
Immunohistochemistry analysis of paraffin-embedded Rat testis tissue using U2AF2/U2AF65 Rabbit mAb (CAB4552) at a dilution of 1:500 (40x lens). High pressure antigen retrieval performed with 0.01M Tris-EDTA Buffer (pH 9.0) prior to IHC staining.
Immunoprecipitation analysis of 300 μg extracts of HeLa cells using 3 μg U2AF2/U2AF65 antibody (CAB4552). Western blot was performed from the immunoprecipitate using U2AF2/U2AF65 antibody (CAB4552) at a dilution of 1:1000.