The UBE2C Antibody (CAB5499) is a high-quality antibody developed for reliable detection and analysis of target proteins. This antibody, produced in rabbits, exhibits high reactivity with human samples and has been validated for use in Western blotting applications. By binding specifically to the UBE2C protein, this antibody allows for accurate detection and analysis in various cell types, making it an essential component in studies related to cell biology, cancer research, and DNA damage response mechanisms.UBE2C, also known as ubiquitin-conjugating enzyme E2C, plays a crucial role in maintaining genomic stability and promoting cell proliferation.
This antibody is validated for use in WB, IHC-P, IF/ICC, IP, ELISA applications and has demonstrated reactivity against Human, Mouse, Rat samples.
Product Name:
UBE2C Antibody
SKU:
CAB5499
Size:
20μL, 100μL
Reactivity:
Human, Mouse, Rat
Conjugate:
Unconjugated
Immunogen:
Recombinant protein (or fragment).This information is considered to be commercially sensitive.
0.5μg-4μg antibody for 200μg-400μg extracts of whole cells
ELISA
Recommended starting concentration is 1 μg/mL. Please optimize the concentration based on your specific assay requirements.
Synonyms:
UBCH10, dJ447F3.2, UBE2C
Positive Sample:
PC-3, NIH/3T3
Cellular Localization:
Cytosol, Nucleoplasm, Nucleus, Plasma Membrane.
Calculated MW:
20kDa
Observed MW:
21kDa
The modification of proteins with ubiquitin is an important cellular mechanism for targeting abnormal or short-lived proteins for degradation. Ubiquitination involves at least three classes of enzymes: ubiquitin-activating enzymes, ubiquitin-conjugating enzymes, and ubiquitin-protein ligases. This gene encodes a member of the E2 ubiquitin-conjugating enzyme family. The encoded protein is required for the destruction of mitotic cyclins and for cell cycle progression, and may be involved in cancer progression. Multiple transcript variants encoding different isoforms have been found for this gene. Pseudogenes of this gene have been defined on chromosomes 4, 14, 15, 18, and 19.
Purification Method
Affinity purification
Gene ID
11065
RRID
AB_2766295
Buffer Information
Store at -20℃. Avoid freeze / thaw cycles. Buffer: PBS containing 50% glycerol, preserved with proclin300 or sodium azide, pH 7.3.
Western blot analysis of various lysates, using UBE2C Rabbit pAb (CAB5499) at 1:500 dilution. Secondary antibody: HRP-conjugated Goat anti-Rabbit IgG (H+L) (CABS014) at 1:10000 dilution. Lysates/proteins: 25μg per lane. Blocking buffer: 3% nonfat dry milk in TBST. Detection: ECL Enhanced Kit (AbGn00021). Exposure time: 90s.
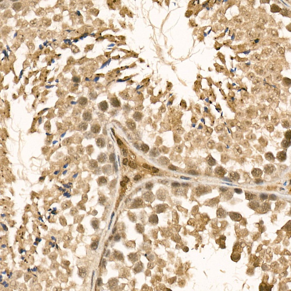
Immunohistochemistry analysis of paraffin-embedded Mouse testis using UBE2C Rabbit pAb (CAB5499) at dilution of 1:100 (40x lens). High pressure antigen retrieval performed with 0.01M Citrate buffer (pH 6.0) prior to IHC staining.
Immunofluorescence analysis of HeLa cells using UBE2C Rabbit pAb (CAB5499) at dilution of 1:100 (40x lens). Secondary antibody: Cy3-conjugated Goat anti-Rabbit IgG (H+L) (CABS007) at 1:500 dilution. Blue: DAPI for nuclear staining.
Immunofluorescence analysis of MCF7 cells using UBE2C Rabbit pAb (CAB5499) at dilution of 1:100 (40x lens). Secondary antibody: Cy3-conjugated Goat anti-Rabbit IgG (H+L) (CABS007) at 1:500 dilution. Blue: DAPI for nuclear staining.
Immunofluorescence analysis of PC-12 cells using UBE2C Rabbit pAb (CAB5499) at dilution of 1:100 (40x lens). Secondary antibody: Cy3-conjugated Goat anti-Rabbit IgG (H+L) (CABS007) at 1:500 dilution. Blue: DAPI for nuclear staining.
Immunoprecipitation analysis of 300 μg extracts of NIH/3T3 cells using 3 μg UBE2C antibody (CAB5499). Western blot was performed from the immunoprecipitate using UBE2C antibody (CAB5499) at a dilution of 1:1000.