The UBIAD1 Antibody (CAB7640) is a high-quality antibody developed for reliable detection and analysis of target proteins. This antibody, produced in rabbits, is highly specific to human samples and has been validated for use in Western blot applications. By binding to the UBIAD1 protein, this antibody enables precise detection and analysis in various cell types, making it ideal for studies in lipid metabolism, vitamin K biology, and related areas of research.UBIAD1, also called TERE1, has been associated with several human diseases, including familial juvenile systemic chondrocalcinosis and Schnyder corneal dystrophy.
This antibody is validated for use in WB, IHC-P, ELISA applications and has demonstrated reactivity against Human, Mouse, Rat samples.
Product Name:
UBIAD1 Antibody
SKU:
CAB7640
Size:
20μL, 100μL
Reactivity:
Human, Mouse, Rat
Conjugate:
Unconjugated
Immunogen:
Synthetic peptide. This information is considered to be commercially sensitive.
This gene encodes a protein thought to be involved in cholesterol and phospholipid metabolism. Mutations in this gene are associated with Schnyder crystalline corneal dystrophy.
Purification Method
Affinity purification
Gene ID
29914
RRID
AB_2768152
Buffer Information
Store at -20℃. Avoid freeze / thaw cycles. Buffer: PBS containing 50% glycerol, preserved with proclin300 or sodium azide, pH 7.3.
Western blot analysis of various lysates using UBIAD1 Rabbit pAb (CAB7640) at 1:1000 dilution._Secondary antibody: HRP-conjugated Goat anti-Rabbit IgG (H+L) (CABS014) at 1:10000 dilution._Lysates/proteins: 25μg per lane._Blocking buffer: 3% nonfat dry milk in TBST._Detection: ECL Enhanced Kit (AbGn00021)._Exposure time: 60s.
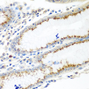
Immunohistochemistry analysis of paraffin-embedded Human colon carcinoma using UBIAD1 Rabbit pAb (CAB7640) at dilution of 1:100 (40x lens). Microwave antigen retrieval performed with 0.01M PBS Buffer (pH 7.2) prior to IHC staining.
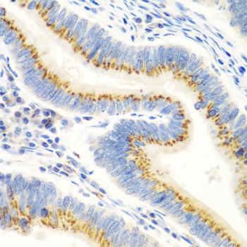
Immunohistochemistry analysis of paraffin-embedded Human stomach using UBIAD1 Rabbit pAb (CAB7640) at dilution of 1:100 (40x lens). Microwave antigen retrieval performed with 0.01M PBS Buffer (pH 7.2) prior to IHC staining.