The Ku80 Antibody (CAB5862) is a high-quality antibody developed for reliable detection and analysis of target proteins. This antibody, produced in rabbits, is highly specific for human samples and has been validated for use in Western blot applications. By binding to the XRCC5 protein, this antibody enables accurate detection and analysis in a variety of cell types, making it suitable for studies in DNA repair mechanisms and cancer research.XRCC5, also known as Ku80, is essential for repairing DNA double-strand breaks and maintaining genomic stability.
This antibody is validated for use in WB, IHC-P, IF/ICC, IP, ELISA applications and has demonstrated reactivity against Human, Mouse, Rat samples.
Product Name:
Ku80 Antibody
SKU:
CAB5862
Size:
20μL, 100μL
Reactivity:
Human, Mouse, Rat
Conjugate:
Unconjugated
Immunogen:
Recombinant protein (or fragment).This information is considered to be commercially sensitive.
0.5μg-4μg antibody for 200μg-400μg extracts of whole cells
IF/ICC
1:20 - 1:100
IHC-P
1:100 - 1:200
ELISA
Recommended starting concentration is 1 μg/mL. Please optimize the concentration based on your specific assay requirements.
Synonyms:
KU80, KUB2, Ku86, NFIV, KARP1, KARP-1, Ku80
Positive Sample:
A549, MCF7, Hep G2
Cellular Localization:
Chromosome, Nucleus, Nucleolus.
Calculated MW:
83kDa
Observed MW:
86kDa
The protein encoded by this gene is the 80-kilodalton subunit of the Ku heterodimer protein which is also known as ATP-dependant DNA helicase II or DNA repair protein XRCC5. Ku is the DNA-binding component of the DNA-dependent protein kinase, and it functions together with the DNA ligase IV-XRCC4 complex in the repair of DNA double-strand break by non-homologous end joining and the completion of V(D)J recombination events. This gene functionally complements Chinese hamster xrs-6, a mutant defective in DNA double-strand break repair and in ability to undergo V(D)J recombination. A rare microsatellite polymorphism in this gene is associated with cancer in patients of varying radiosensitivity.
Purification Method
Affinity purification
Gene ID
7520
RRID
AB_2766612
Buffer Information
Store at -20℃. Avoid freeze / thaw cycles. Buffer: PBS containing 50% glycerol, preserved with proclin300 or sodium azide, pH 7.3.
Western blot analysis of various lysates using Ku80 Rabbit pAb (CAB5862) at 1:1000 dilution. Secondary antibody: HRP-conjugated Goat anti-Rabbit IgG (H+L) (CABS014) at 1:10000 dilution. Lysates/proteins: 25μg per lane. Blocking buffer: 3% nonfat dry milk in TBST. Detection: ECL Basic Kit (AbGn00020). Exposure time: 15s.
Western blot analysis of various lysates using Ku80 Rabbit pAb (CAB5862) at 1:1000 dilution. Secondary antibody: HRP-conjugated Goat anti-Rabbit IgG (H+L) (CABS014) at 1:10000 dilution. Lysates/proteins: 25μg per lane. Blocking buffer: 3% nonfat dry milk in TBST. Detection: ECL Basic Kit (AbGn00020). Exposure time: 10s.
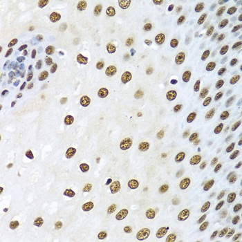
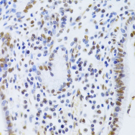
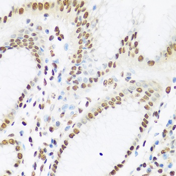
Immunohistochemistry analysis of paraffin-embedded Human esophagus using Ku80 Rabbit pAb (CAB5862) at dilution of 1:100 (40x lens). Microwave antigen retrieval performed with 0.01M PBS Buffer (pH 7.2) prior to IHC staining.
Immunohistochemistry analysis of paraffin-embedded Human stomach using Ku80 Rabbit pAb (CAB5862) at dilution of 1:100 (40x lens). Microwave antigen retrieval performed with 0.01M PBS Buffer (pH 7.2) prior to IHC staining.
Immunohistochemistry analysis of paraffin-embedded Human gastric cancer using Ku80 Rabbit pAb (CAB5862) at dilution of 1:100 (40x lens). Microwave antigen retrieval performed with 0.01M PBS Buffer (pH 7.2) prior to IHC staining.
Immunofluorescence analysis of A549 cells using Ku80 Rabbit pAb (CAB5862). Secondary antibody: Cy3-conjugated Goat anti-Rabbit IgG (H+L) (CABS007) at 1:500 dilution. Blue: DAPI for nuclear staining.
Confocal immunofluorescence analysis of U2OS cells using Ku80 Rabbit pAb (CAB5862) at dilution of 1:100. Blue: DAPI for nuclear staining.
Immunoprecipitation analysis of 200 μg extracts of 293T cells using 1 μg Ku80 antibody ( CAB5862). Western blot was performed from the immunoprecipitate using Ku80 antibody ( CAB5862) at a dilution of 1:1000.