The YPEL5 Antibody (CAB14331) is a high-quality antibody developed for reliable detection and analysis of target proteins. This antibody, produced in rabbits, shows high reactivity with human samples and has been validated for use in Western blot applications. By binding to the YPEL5 protein, this antibody enables accurate detection and analysis in various cell types, making it ideal for studies in cell biology and cancer research.YPEL5 is a key regulator of cell division and growth, playing a crucial role in maintaining cellular homeostasis. Its involvement in cell cycle progression and proliferation makes it a potential target for investigating diseases like cancer, where dysregulation of cell growth pathways occurs.
This antibody is validated for use in WB, ELISA applications and has demonstrated reactivity against Human, Mouse, Rat samples.
Product Name:
YPEL5 Antibody
SKU:
CAB14331
Size:
20μL, 100μL
Reactivity:
Human, Mouse, Rat
Conjugate:
Unconjugated
Immunogen:
Recombinant protein (or fragment).This information is considered to be commercially sensitive.
Recommended starting concentration is 1 μg/mL. Please optimize the concentration based on your specific assay requirements.
Synonyms:
CGI-127, YPEL5
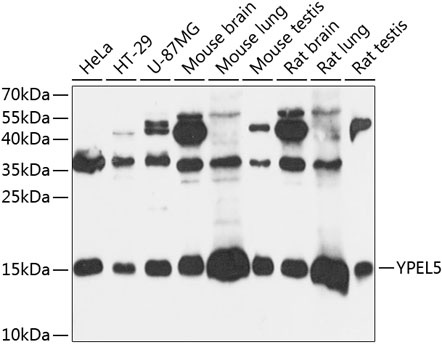
Positive Sample:
HeLa, HT-29, U-87MG, Mouse brain, Mouse lung, Mouse testis, Rat brain, Rat lung, Rat testis
Cellular Localization:
Extracellular Region, Microtubule Organizing Center, Mitotic Spindle Pole, Nucleus.
Calculated MW:
14kDa
Observed MW:
14kDa
Predicted to enable metal ion binding activity. Predicted to be involved in cell population proliferation. Part of ubiquitin ligase complex.
Purification Method
Affinity purification
Gene ID
51646
RRID
AB_2761197
Buffer Information
Store at -20℃. Avoid freeze / thaw cycles. Buffer: PBS with 0.01% thimerosal,50% glycerol,pH7.3.
Western blot analysis of various lysates using YPEL5 Rabbit pAb (CAB14331) at 1:3000 dilution. Secondary antibody: HRP-conjugated Goat anti-Rabbit IgG (H+L) (CABS014) at 1:10000 dilution. Lysates/proteins: 25μg per lane. Blocking buffer: 3% nonfat dry milk in TBST. Detection: ECL Basic Kit (AbGn00020). Exposure time: 90s.