The YTHDF2 Polyclonal Antibody (CAB24287) is a high-quality antibody developed for reliable detection and analysis of target proteins. This antibody, derived from rabbits, exhibits high specificity for human samples and is validated for use in Western blotting applications. By binding to the YTHDF2 protein, this antibody enables accurate detection and analysis of YTHDF2 expression in various cell types, making it an ideal choice for studies in molecular biology and RNA biology.
This antibody is validated for use in WB, IHC-P, IF/ICC, ELISA applications and has demonstrated reactivity against Human, Mouse, Rat samples.
Product Name:
YTHDF2 Polyclonal Antibody
SKU:
CAB24287
Size:
20μL, 100μL
Reactivity:
Human, Mouse, Rat
Immunogen:
Synthetic peptide. This information is considered to be commercially sensitive.
Recommended starting concentration is 1 μg/mL. Please optimize the concentration based on your specific assay requirements.
Synonyms:
DF2, CAHL, HGRG8, NY-REN-2, YTHDF2
Positive Sample:
HeLa
Calculated MW:
62kDa
Observed MW:
65kDa
This gene encodes a member of the YTH (YT521-B homology) superfamily containing YTH domain. The YTH domain is typical for the eukaryotes and is particularly abundant in plants. The YTH domain is usually located in the middle of the protein sequence and may function in binding to RNA. In addition to a YTH domain, this protein has a proline rich region which may be involved in signal transduction. An Alu-rich domain has been identified in one of the introns of this gene, which is thought to be associated with human longevity. In addition, reciprocal translocations between this gene and the Runx1 (AML1) gene on chromosome 21 has been observed in patients with acute myeloid leukemia. This gene was initially mapped to chromosome 14, which was later turned out to be a pseudogene. Alternatively spliced transcript variants encoding different isoforms have been identified in this gene.
Purification Method
Affinity purification
Gene ID
51441
Buffer Information
Store at -20℃. Avoid freeze / thaw cycles. Buffer: PBS containing 50% glycerol, preserved with proclin300 or sodium azide, pH 7.3.
Western blot analysis of lysates from HeLa cells, using YTHDF2 Rabbit pAb (CAB24287) at 1:1000 dilution. Secondary antibody: HRP-conjugated Goat anti-Rabbit IgG (H+L) (CABS014) at 1:10000 dilution. Lysates/proteins: 25μg per lane. Blocking buffer: 3% nonfat dry milk in TBST. Detection: ECL Basic Kit (AbGn00020). Exposure time: 60s.
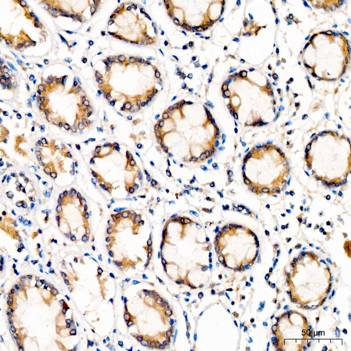
Immunohistochemistry analysis of paraffin-embedded Human colon using YTHDF2 Rabbit pAb (CAB24287) at dilution of 1:50 (40x lens). High pressure antigen retrieval performed with 0.01M Citrate buffer (pH 6.0) prior to IHC staining.
Immunofluorescence analysis of HeLa cells using YTHDF2 Rabbit pAb (CAB24287) at a dilution of 1:200 (40x lens). Secondary antibody: Cy3-conjugated Goat anti-Rabbit IgG (H+L)(CABS007) at 1:500 dilution. Blue: DAPI for nuclear staining.
Immunofluorescence analysis of U-2 OS cells using YTHDF2 Rabbit pAb (CAB24287) at a dilution of 1:200 (40x lens). Secondary antibody: Cy3-conjugated Goat anti-Rabbit IgG (H+L)(CABS007) at 1:500 dilution. Blue: DAPI for nuclear staining.