The ADORA1 Antibody (CAB18525) is a high-quality antibody developed for reliable detection and analysis of target proteins. This antibody, generated in rabbits, exhibits high reactivity with human samples and has been validated for use in Western blot applications.Adora1 is a G protein-coupled receptor that binds to the neurotransmitter adenosine and plays a crucial role in regulating neuronal activity and synaptic transmission.
This antibody is validated for use in WB, IHC-P, ELISA applications and has demonstrated reactivity against Human, Mouse, Rat samples.
Product Name:
ADORA1 Antibody
SKU:
CAB18525
Size:
20μL, 100μL
Reactivity:
Human, Mouse, Rat
Immunogen:
Synthetic peptide. This information is considered to be commercially sensitive.
The protein encoded by this gene is an adenosine receptor that belongs to the G-protein coupled receptor 1 family. There are 3 types of adenosine receptors, each with a specific pattern of ligand binding and tissue distribution, and together they regulate a diverse set of physiologic functions. The type A1 receptors inhibit adenylyl cyclase, and play a role in the fertilization process. Animal studies also suggest a role for A1 receptors in kidney function and ethanol intoxication. Transcript variants with alternative splicing in the 5' UTR have been found for this gene.
Purification Method
Affinity purification
Gene ID
134
RRID
AB_2862289
Buffer Information
Store at -20℃. Avoid freeze / thaw cycles. Buffer: PBS with 0.01% thimerosal,50% glycerol,pH7.3.
Western blot analysis of lysates from Mouse heart, using ADORA1 Rabbit pAb (CAB18525) at 1:1000 dilution. Secondary antibody: HRP-conjugated Goat anti-Rabbit IgG (H+L) (CABS014) at 1:10000 dilution. Lysates/proteins: 25μg per lane. Blocking buffer: 3% nonfat dry milk in TBST. Detection: ECL Basic Kit (AbGn00020). Exposure time: 1min.
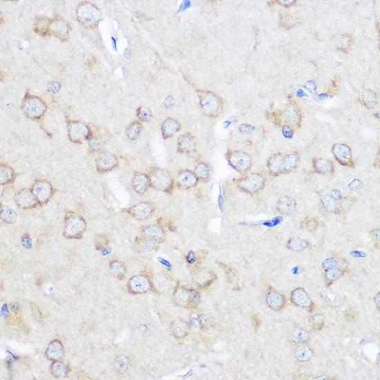
Immunohistochemistry analysis of paraffin-embedded Rat brain using ADORA1 Rabbit pAb (CAB18525) at dilution of 1:100 (40x lens). Microwave antigen retrieval performed with 0.01M PBS Buffer (pH 7.2) prior to IHC staining.